Antibody data
- Antibody Data
- Antigen structure
- References [0]
- Comments [0]
- Validations
- Western blot [1]
- Immunohistochemistry [1]
Submit
Validation data
Reference
Comment
Report error
- Product number
- LS-B9286 - Provider product page

- Provider
- LSBio
- Product name
- IHC-plus™ CORO6 Antibody (aa337-365) LS-B9286
- Antibody type
- Polyclonal
- Description
- Protein A purified
- Reactivity
- Human, Mouse
- Host
- Rabbit
- Storage
- Maintain refrigerated at 2°C to 8°C for up to 6 months. For long term storage store at -20°C.
No comments: Submit comment
Enhanced validation
- Submitted by
- LSBio (provider)
- Enhanced method
- Genetic validation
- Main image

- Experimental details
- Western blot of CORO6 Antibody in mouse spleen tissue lysates (35 ug/lane). CORO6 (arrow) was detected using the purified antibody.
Supportive validation
- Submitted by
- LSBio (provider)
- Enhanced method
- Genetic validation
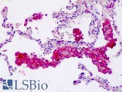
- Main image

- Experimental details
- Anti-CORO6 antibody IHC staining of human lung, macrophages. Immunohistochemistry of formalin-fixed, paraffin-embedded tissue after heat-induced antigen retrieval.