Antibody data
- Antibody Data
- Antigen structure
- References [0]
- Comments [0]
- Validations
- Western blot [1]
- Immunohistochemistry [1]
- Flow cytometry [1]
Submit
Validation data
Reference
Comment
Report error
- Product number
- GTX53522 - Provider product page

- Provider
- GeneTex
- Product name
- Coronin 6 antibody
- Antibody type
- Polyclonal
- Reactivity
- Human, Mouse
- Host
- Rabbit
No comments: Submit comment
Supportive validation
- Submitted by
- GeneTex (provider)
- Main image

- Experimental details
- WB analysis of mouse stomach tissue lysate (15ug) using Coronin 6 antibody.
- Validation comment
- WB
Supportive validation
- Submitted by
- GeneTex (provider)
- Main image

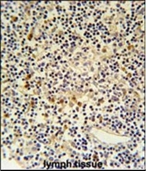
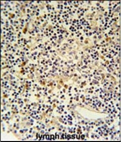
- Experimental details
- IHC-P analysis of human lymph tissue using Coronin 6 antibody.
Supportive validation
- Submitted by
- GeneTex (provider)
- Main image

- Experimental details
- FACS analysis of Ramos cells (right histogram) compared to a negative control cell (left histogram) using Coronin 6 antibody.