Antibody data
- Antibody Data
- Antigen structure
- References [0]
- Comments [0]
- Validations
- Western blot [1]
- Immunohistochemistry [1]
- Flow cytometry [1]
Submit
Validation data
Reference
Comment
Report error
- Product number
- OAAB02247 - Provider product page

- Provider
- Aviva Systems Biology
- Product name
- CORO6 antibody - center region
- Antibody type
- Polyclonal
- Reactivity
- Human, Mouse
- Host
- Rabbit
- Vial size
- 400ul
- Storage
- Maintain refrigerated at 2-8 deg C for up to 6 months. For long term storage store at -20 deg C in small aliquots to prevent freeze-thaw cycles.
No comments: Submit comment
Supportive validation
- Submitted by
- Aviva Systems Biology (provider)
- Main image

- Experimental details
- CORO6 Antibody (Center) western blot analysis in mouse stomach tissue lysates (15ug/lane).This demonstrates the CORO6 antibody detected CORO6 protein (arrow).
- Sample type
- mouse stomach tissue lysates
- Primary Ab dilution
- 1.0 µg/mL
- Protocol
- Protocol
Supportive validation
- Submitted by
- Aviva Systems Biology (provider)
- Main image

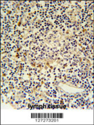
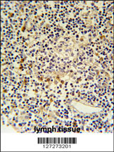
- Experimental details
- CORO6 Antibody (Center) immunohistochemistry analysis in formalin fixed and paraffin embedded human lymph tissue followed by peroxidase conjugation of the secondary antibody and DAB staining. This data demonstrates the use of the CORO6 Antibody (Center) for immunohistochemistry. Clinical relevance has not been evaluated.
- Sample type
- human lymph tissue
- Primary Ab dilution
- 1.0 µg/mL
- Protocol
- Protocol
Supportive validation
- Submitted by
- Aviva Systems Biology (provider)
- Main image

- Experimental details
- CORO6 Antibody (Center) flow cytometric analysis of Ramos cells (right histogram) compared to a negative control cell (left histogram).FITC-conjugated goat-anti-rabbit secondary antibodies were used for the analysis.
- Sample type
- Ramos cells
- Primary Ab dilution
- 1.0 µg/mL
- Protocol
- Protocol