Antibody data
- Antibody Data
- Antigen structure
- References [0]
- Comments [0]
- Validations
- Western blot [1]
- Immunohistochemistry [1]
- Flow cytometry [1]
Submit
Validation data
Reference
Comment
Report error
- Product number
- ABIN651025 - Provider product page

- Provider
- antibodies-online
- Product name
- anti-Coronin 6 (CORO6) (AA 196-224), (Center) antibody
- Antibody type
- Polyclonal
- Description
- This antibody is purified through a protein A column, followed by peptide affinity purification.
- Reactivity
- Human, Mouse
- Host
- Rabbit
- Epitope
- AA 196-224, Center
- Antibody clone number
- RB27273
- Vial size
- 400 μL
- Storage
- Maintain refrigerated at 2-8°C for up to 6 months. For long term storage store at -20°C in small aliquots to prevent freeze-thaw cycles.
No comments: Submit comment
Supportive validation
- Submitted by
- antibodies-online (provider)
- Main image

- Experimental details
- WB
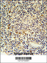
Supportive validation
- Submitted by
- antibodies-online (provider)
- Main image

- Experimental details
- IHC
Supportive validation
- Submitted by
- antibodies-online (provider)
- Main image

- Experimental details
- FACS