Antibody data
- Antibody Data
- Antigen structure
- References [0]
- Comments [0]
- Validations
- Western blot [1]
- Immunohistochemistry [1]
Submit
Validation data
Reference
Comment
Report error
- Product number
- GTX123289 - Provider product page

- Provider
- GeneTex
- Proper citation
- GeneTex Cat#GTX123289, RRID:AB_11165463
- Product name
- KBTBD3 antibody
- Antibody type
- Polyclonal
- Reactivity
- Human
- Host
- Rabbit
No comments: Submit comment
Supportive validation
- Submitted by
- GeneTex (provider)
- Main image

- Experimental details
- Sample (30 ug of whole cell lysate) A: PC-3 7.5% SDS PAGE GTX123289 diluted at 1:10000
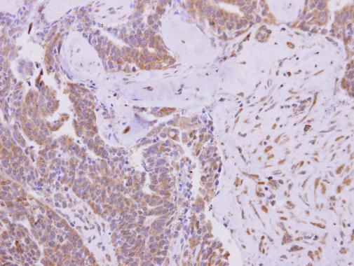
Supportive validation
- Submitted by
- GeneTex (provider)
- Main image

- Experimental details
- KBTBD3 antibody detects KBTBD3 protein at cytoplasm on human lung carcinoma by immunohistochemical analysis. Sample: Paraffin-embedded lung carcinoma. KBTBD3 antibody (GTX123289) dilution: 1:500.