Antibody data
- Antibody Data
- Antigen structure
- References [0]
- Comments [0]
- Validations
- Immunocytochemistry [2]
- Immunohistochemistry [4]
Submit
Validation data
Reference
Comment
Report error
- Product number
- PA5-52817 - Provider product page

- Provider
- Invitrogen Antibodies
- Product name
- TMEM246 Polyclonal Antibody
- Antibody type
- Polyclonal
- Antigen
- Recombinant protein fragment
- Description
- Immunogen sequence: RHYFLELRRL SPSLYSVVPA SQCCTPAMLF PAPAARRTLT YLSQVYCHKG FGKDMALYSL LRAKGERAYV VEPNLVKHIG LFSSLRYNFH PSLL Highest antigen sequence identity to the following orthologs: Mouse - 100%, Rat - 100%.
- Reactivity
- Human
- Host
- Rabbit
- Isotype
- IgG
- Vial size
- 100 μL
- Concentration
- 0.05 mg/mL
- Storage
- Store at 4°C short term. For long term storage, store at -20°C, avoiding freeze/thaw cycles.
No comments: Submit comment
Supportive validation
- Submitted by
- Invitrogen Antibodies (provider)
- Main image

- Experimental details
- Immunofluorescent staining of TMEM246 in human cell line U-2 OS using a TMEM246 Polyclonal Antibody (Product # PA5-52817) shows localization to mitochondria.
- Submitted by
- Invitrogen Antibodies (provider)
- Main image

- Experimental details
- Immunofluorescent staining of TMEM246 in human cell line U-2 OS using a TMEM246 Polyclonal Antibody (Product # PA5-52817) shows localization to mitochondria.
Supportive validation
- Submitted by
- Invitrogen Antibodies (provider)
- Main image

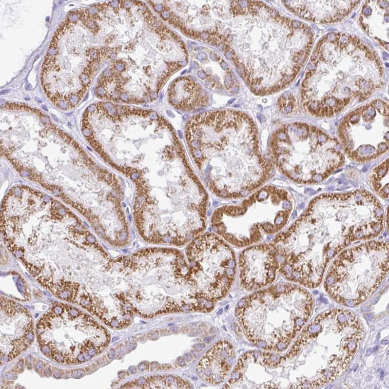
- Experimental details
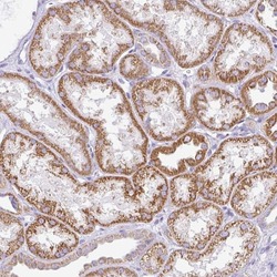
- Immunohistochemical staining of TMEM246 in human kidney using a TMEM246 Polyclonal Antibody (Product # PA5-52817) shows strong cytoplasmic positivity in granular pattern in tubular cells.
- Submitted by
- Invitrogen Antibodies (provider)
- Main image

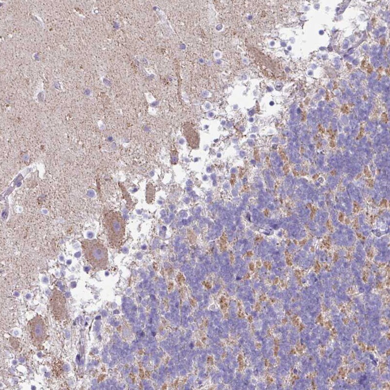
- Experimental details
- Immunohistochemical analysis of TMEM246 in human cerebellum using TMEM246 Polyclonal Antibody (Product # PA5-52817) shows weak granular cytoplasmic positivity in Purkinje cells.
- Submitted by
- Invitrogen Antibodies (provider)
- Main image

- Experimental details
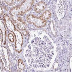
- Immunohistochemical analysis of TMEM246 in human kidney using TMEM246 Polyclonal Antibody (Product # PA5-52817) shows moderate granular cytoplasmic positivity in cells in tubules.
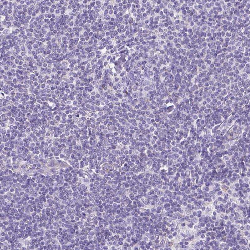
- Submitted by
- Invitrogen Antibodies (provider)
- Main image

- Experimental details
- Immunohistochemical analysis of TMEM246 in human lymph node using TMEM246 Polyclonal Antibody (Product # PA5-52817) shows no positivity in non-germinal center cells as expected.