Antibody data
- Antibody Data
- Antigen structure
- References [0]
- Comments [0]
- Validations
- Western blot [2]
Submit
Validation data
Reference
Comment
Report error
- Product number
- NBP2-56241 - Provider product page

- Provider
- Novus Biologicals
- Product name
- Rabbit Polyclonal IRF2BPL Antibody
- Antibody type
- Polyclonal
- Description
- Affinity purified. Specificity of human IRF2BPL antibody verified on a Protein Array containing target protein plus 383 other non-specific proteins.
- Reactivity
- Human
- Host
- Rabbit
- Isotype
- IgG
- Vial size
- 100 ul
- Storage
- Store at 4C short term. Aliquot and store at -20C long term. Avoid freeze-thaw cycles.
No comments: Submit comment
Supportive validation
- Submitted by
- Novus Biologicals (provider)
- Main image

- Experimental details
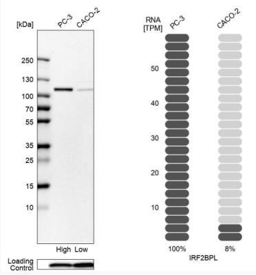
- Western Blot: IRF2BPL Antibody [NBP2-56241] - Analysis in human cell lines PC-3 and Caco-2 using Anti-IRF2BPL antibody. Corresponding IRF2BPL RNA-seq data are presented for the same cell lines. Loading control: Anti-COX4I1.
- Submitted by
- Novus Biologicals (provider)
- Main image

- Experimental details
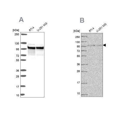
- Western Blot: IRF2BPL Antibody [NBP2-56241] - Analysis using Anti-IRF2BPL antibody NBP2-56241 (A) shows similar pattern to independent antibody NBP2-14712 (B).