Antibody data
- Antibody Data
- Antigen structure
- References [0]
- Comments [0]
- Validations
- Western blot [1]
- Immunocytochemistry [2]
- Immunohistochemistry [4]
Submit
Validation data
Reference
Comment
Report error
- Product number
- PA5-62256 - Provider product page

- Provider
- Invitrogen Antibodies
- Product name
- C14orf4 Polyclonal Antibody
- Antibody type
- Polyclonal
- Antigen
- Recombinant protein fragment
- Description
- Immunogen sequence: SSSVAEVGVG AGGKRPGSVS STDQERELKE KQRNAEALAE LSESLRNRAE EWASKPKMVR DTLLTLAGCT PYEVRFKKD Highest antigen sequence identity to the following orthologs: Mouse - 96%, Rat - 96%.
- Reactivity
- Human
- Host
- Rabbit
- Isotype
- IgG
- Vial size
- 100 μL
- Concentration
- 0.1 mg/mL
- Storage
- Store at 4°C short term. For long term storage, store at -20°C, avoiding freeze/thaw cycles.
No comments: Submit comment
Supportive validation
- Submitted by
- Invitrogen Antibodies (provider)
- Main image

- Experimental details
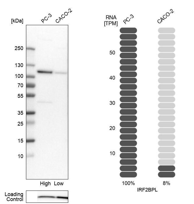
- Western blot analysis of C14orf4 in human cell lines PC-3 and Caco-2 using a C14orf4 Polyclonal Antibody (Product # PA5-62256). Corresponding IRF2BPL RNA-seq data are presented for the same cell lines. Loading control: Anti-COX4I1.
Supportive validation
- Submitted by
- Invitrogen Antibodies (provider)
- Main image

- Experimental details
- Immunofluorescent staining of C14orf4 in human cell line MCF7 shows positivity in nucleus but excluded from the nucleoli. Samples were probed using a C14orf4 Polyclonal Antibody (Product # PA5-62256).
- Submitted by
- Invitrogen Antibodies (provider)
- Main image

- Experimental details
- Immunofluorecent analysis of C14orf4 in human cell line MCF7 using C14orf4 Polyclonal Antibody (Product # PA5-62256). Staining shows localization to nucleoplasm.
Supportive validation
- Submitted by
- Invitrogen Antibodies (provider)
- Main image

- Experimental details
- Immunohistochemical analysis of C14orf4 in human fallopian tube using C14orf4 Polyclonal Antibody (Product # PA5-62256) shows strong nuclear positivity in glandular cells.
- Submitted by
- Invitrogen Antibodies (provider)
- Main image

- Experimental details
- Immunohistochemical analysis of C14orf4 in human pancreas using C14orf4 Polyclonal Antibody (Product # PA5-62256) shows moderate nuclear positivity in exocrine glandular cells.
- Submitted by
- Invitrogen Antibodies (provider)
- Main image

- Experimental details
- Immunohistochemical analysis of C14orf4 in human skeletal muscle using C14orf4 Polyclonal Antibody (Product # PA5-62256) shows moderate nuclear positivity in myocytes.
- Submitted by
- Invitrogen Antibodies (provider)
- Main image

- Experimental details
- Immunohistochemical analysis of C14orf4 in human testis using C14orf4 Polyclonal Antibody (Product # PA5-62256) shows moderate positivity in cells in seminiferous ducts.