Antibody data
- Antibody Data
- Antigen structure
- References [0]
- Comments [0]
- Validations
- Western blot [2]
- Immunohistochemistry [5]
Submit
Validation data
Reference
Comment
Report error
- Product number
- NBP2-14712 - Provider product page

- Provider
- Novus Biologicals
- Product name
- Rabbit Polyclonal IRF2BPL Antibody
- Antibody type
- Polyclonal
- Description
- Immunogen affinity purified. Specificity of human IRF2BPL antibody verified on a Protein Array containing target protein plus 383 other non-specific proteins.
- Reactivity
- Human
- Host
- Rabbit
- Isotype
- IgG
- Vial size
- 0.1 ml
- Storage
- Store at 4C short term. Aliquot and store at -20C long term. Avoid freeze-thaw cycles.
No comments: Submit comment
Supportive validation
- Submitted by
- Novus Biologicals (provider)
- Main image

- Experimental details
- Western Blot: IRF2BPL Antibody [NBP2-14712] - Analysis in human cell lines PC-3 and Caco-2 using anti-IRF2BPL antibody. Corresponding IRF2BPL RNA-seq data are presented for the same cell lines. Loading control: anti-COX4I1.
- Submitted by
- Novus Biologicals (provider)
- Main image

- Experimental details
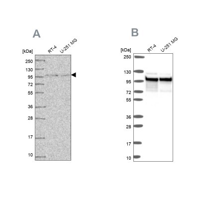
- Western Blot: IRF2BPL Antibody [NBP2-14712] - Analysis using Anti-IRF2BPL antibody NBP2-14712 (A) shows similar pattern to independent antibody NBP2-56241 (B).
Supportive validation
- Submitted by
- Novus Biologicals (provider)
- Main image

- Experimental details
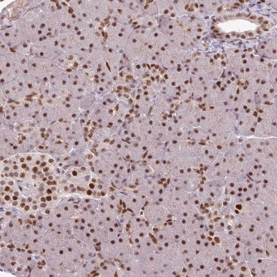
- Immunohistochemistry-Paraffin: IRF2BPL Antibody [NBP2-14712] - Staining of human pancreas shows strong nuclear positivity in exocrine glandular cells and islets of Langerhans.
- Submitted by
- Novus Biologicals (provider)
- Main image

- Experimental details
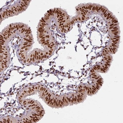
- Immunohistochemistry-Paraffin: IRF2BPL Antibody [NBP2-14712] - Staining of human fallopian tube shows strong nuclear positivity in glandular cells.
- Submitted by
- Novus Biologicals (provider)
- Main image

- Experimental details
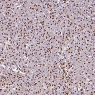
- Immunohistochemistry-Paraffin: IRF2BPL Antibody [NBP2-14712] - Staining of human pancreas shows moderate nuclear positivity in exocrine glandular cells.
- Submitted by
- Novus Biologicals (provider)
- Main image

- Experimental details
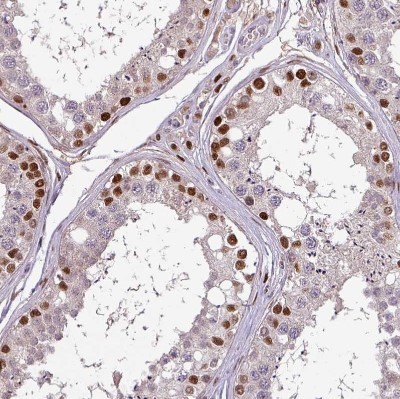
- Immunohistochemistry-Paraffin: IRF2BPL Antibody [NBP2-14712] - Staining of human testis shows moderate positivity in cells in seminiferous ducts.
- Submitted by
- Novus Biologicals (provider)
- Main image

- Experimental details
- Immunohistochemistry-Paraffin: IRF2BPL Antibody [NBP2-14712] - Staining of human skeletal muscle shows moderate nuclear positivity in myocytes.