PA5-64365
antibody from Invitrogen Antibodies
Targeting: SLC22A18AS
BWR1B, BWSCR1B, ORCTL2S, p27-BWR1B, SLC22A1LS
Antibody data
- Antibody Data
- Antigen structure
- References [0]
- Comments [0]
- Validations
- Immunocytochemistry [2]
- Immunohistochemistry [2]
Submit
Validation data
Reference
Comment
Report error
- Product number
- PA5-64365 - Provider product page

- Provider
- Invitrogen Antibodies
- Product name
- Anti-SLC22A18AS Polyclonal Antibody
- Antibody type
- Polyclonal
- Antigen
- Recombinant full-length protein
- Description
- Immunogen sequence: ELPGSEGMWE NCPLGWVKKK ASGTLAPLDF LLQRKRLWLW ASEPVRPQPQ GIHRFREARR QFCRMRGSRL TGGRKG Highest antigen sequence identity to the following orthologs: Mouse - 29%, Rat - 28%.
- Reactivity
- Human
- Host
- Rabbit
- Isotype
- IgG
- Vial size
- 100 µL
- Concentration
- 0.2 mg/mL
- Storage
- Store at 4°C short term. For long term storage, store at -20°C, avoiding freeze/thaw cycles.
No comments: Submit comment
Supportive validation
- Submitted by
- Invitrogen Antibodies (provider)
- Main image

- Experimental details
- Immunofluorescent staining of SLC22A18AS in human cell line SK-MEL-30 using a SLC22A18AS Polyclonal Antibody (Product # PA5-64365) shows localization to nucleoplasm.
- Submitted by
- Invitrogen Antibodies (provider)
- Main image

- Experimental details
- Immunofluorescent staining of SLC22A18AS in human cell line SK-MEL-30 using a SLC22A18AS Polyclonal Antibody (Product # PA5-64365) shows localization to nucleoplasm.
Supportive validation
- Submitted by
- Invitrogen Antibodies (provider)
- Main image

- Experimental details
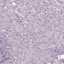
- Immunohistochemical staining of SLC22A18AS in human liver using SLC22A18AS Polyclonal Antibody (Product # PA5-64365) shows low expression as expected.
- Submitted by
- Invitrogen Antibodies (provider)
- Main image

- Experimental details
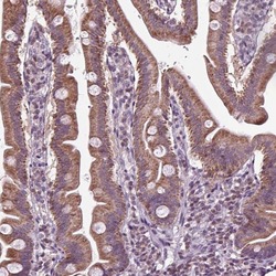
- Immunohistochemical staining of SLC22A18AS in human duodenum using SLC22A18AS Polyclonal Antibody (Product # PA5-64365) shows high expression.