PA5-31339
antibody from Invitrogen Antibodies
Targeting: SLC22A18AS
BWR1B, BWSCR1B, ORCTL2S, p27-BWR1B, SLC22A1LS
Antibody data
- Antibody Data
- Antigen structure
- References [0]
- Comments [0]
- Validations
- Immunocytochemistry [1]
- Immunohistochemistry [1]
Submit
Validation data
Reference
Comment
Report error
- Product number
- PA5-31339 - Provider product page

- Provider
- Invitrogen Antibodies
- Product name
- Anti-SLC22A18AS Polyclonal Antibody
- Antibody type
- Polyclonal
- Antigen
- Recombinant protein fragment
- Description
- Recommended positive controls: 293T, A431. Store product as a concentrated solution. Centrifuge briefly prior to opening the vial.
- Reactivity
- Human
- Host
- Rabbit
- Isotype
- IgG
- Vial size
- 100 µL
- Concentration
- 0.75 mg/mL
- Storage
- Store at 4°C short term. For long term storage, store at -20°C, avoiding freeze/thaw cycles.
No comments: Submit comment
Supportive validation
- Submitted by
- Invitrogen Antibodies (provider)
- Main image

- Experimental details
- Immunofluorescent analysis of SLC22A18AS in methanol-fixed A431 cells using a SLC22A18AS polyclonal antibody (Product # PA5-31339) at a 1:500 dilution.
Supportive validation
- Submitted by
- Invitrogen Antibodies (provider)
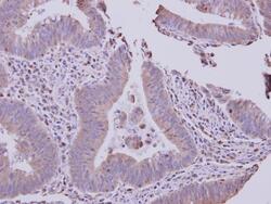
- Main image

- Experimental details
- SLC22A18AS Polyclonal Antibody detects SLC22A18AS protein at cytoplasm on human colon carcinoma by immunohistochemical analysis. Sample: Paraffin-embedded colon carcinoma. SLC22A18AS Polyclonal Antibody (Product # PA5-31339) dilution: 1:500. Antigen Retrieval: EDTA based buffer, pH 8.0, 15 min.