NBP2-32265
antibody from Novus Biologicals
Targeting: PINX1
FLJ20565, Gno1, LPTL, LPTS, MGC8850, Pxr1
Antibody data
- Antibody Data
- Antigen structure
- References [1]
- Comments [0]
- Validations
- Western blot [1]
- Immunoprecipitation [1]
- Immunohistochemistry [1]
Submit
Validation data
Reference
Comment
Report error
- Product number
- NBP2-32265 - Provider product page

- Provider
- Novus Biologicals
- Product name
- Rabbit Polyclonal PINX1 Antibody
- Antibody type
- Polyclonal
- Description
- Immunogen affinity purified.
- Reactivity
- Human
- Host
- Rabbit
- Isotype
- IgG
- Vial size
- 100 ul
- Concentration
- 1.0 mg/ml
- Storage
- Store at 4C. Do not freeze.
Submitted references PinX1 represses renal cancer angiogenesis via the mir-125a-3p/VEGF signaling pathway.
Hou P, Li H, Yong H, Chen F, Chu S, Zheng J, Bai J
Angiogenesis 2019 Nov;22(4):507-519
Angiogenesis 2019 Nov;22(4):507-519
No comments: Submit comment
Supportive validation
- Submitted by
- Novus Biologicals (provider)
- Main image

- Experimental details
- Western Blot: PINX1 Antibody [NBP2-32265] - Samples: Whole cell lysate (50 ug) prepared using NETN buffer from HeLa, 293T, and Jurkat cells. Antibodies: Affinity purified rabbit anti-PINX1 antibody NBP2-32265 used for WB at 0.4 ug/ml. Detection: Chemiluminescence with an exposure time of 3 minutes.
Supportive validation
- Submitted by
- Novus Biologicals (provider)
- Main image

- Experimental details
- Immunoprecipitation: PINX1 Antibody [NBP2-32265] - Samples: Whole cell lysate (0.5 or 1.0 mg per IP reaction; 20% of IP loaded) prepared using NETN buffer from Jurkat cells. Antibodies: Affinity purified rabbit anti-PINX1 antibody NBP2-32265 used for IP at 6 ug per reaction. PINX1 was also immunoprecipitated by rabbit anti-PINX1 antibody BL15294. For blotting immunoprecipitated PINX1, NBP2-32265 was used at 1 ug/ml. Detection: Chemiluminescence with an exposure time of 3 minutes.
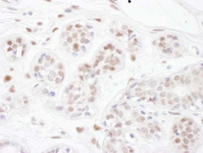
Supportive validation
- Submitted by
- Novus Biologicals (provider)
- Main image

- Experimental details
- Immunohistochemistry: PINX1 Antibody [NBP2-32265] - Sample: FFPE section of human breast carcinoma. Antibody: Affinity purified rabbit anti- PINX1 used at a dilution of 1:1,000 (1ug/ml). Detection: DAB. Counterstain: IHC Hematoxylin (blue).