Antibody data
- Antibody Data
- Antigen structure
- References [0]
- Comments [0]
- Validations
- Immunocytochemistry [1]
- Immunohistochemistry [6]
Submit
Validation data
Reference
Comment
Report error
- Product number
- PA5-52726 - Provider product page

- Provider
- Invitrogen Antibodies
- Product name
- GLOD5 Polyclonal Antibody
- Antibody type
- Polyclonal
- Antigen
- Recombinant protein fragment
- Description
- Immunogen sequence: RRLDHIVMTV KSIKDTTMFY SKILGMEVMT FKEDRKALCF GDQKFNLHEV GKEFEPKAAH PVPGSLDICL ITEVPLEEMI QHLKACDVPI EEGPVPRTGA KGPIMSIYFR DPDRNLIEVS NY Highest antigen sequence identity to the following orthologs: Mouse - 86%, Rat - 87%.
- Reactivity
- Human
- Host
- Rabbit
- Isotype
- IgG
- Vial size
- 100 μL
- Concentration
- 0.4 mg/mL
- Storage
- Store at 4°C short term. For long term storage, store at -20°C, avoiding freeze/thaw cycles.
No comments: Submit comment
Supportive validation
- Submitted by
- Invitrogen Antibodies (provider)
- Main image

- Experimental details
- Immunofluorescent staining of GLOD5 in human cell line A-431 shows positivity in mitochondria. Samples were probed using a GLOD5 Polyclonal Antibody (Product # PA5-52726).
Supportive validation
- Submitted by
- Invitrogen Antibodies (provider)
- Main image

- Experimental details
- Immunohistochemical analysis of GLOD5 in human cerebellum using GLOD5 Polyclonal Antibody (Product # PA5-52726) shows no positivity in Purkinje cells as expected.
- Submitted by
- Invitrogen Antibodies (provider)
- Main image

- Experimental details
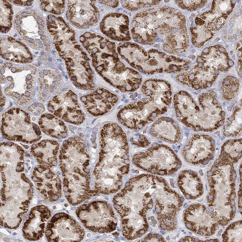
- Immunohistochemical analysis of GLOD5 in human kidney using GLOD5 Polyclonal Antibody (Product # PA5-52726) shows strong granular cytoplasmic positivity in cells in tubules.
- Submitted by
- Invitrogen Antibodies (provider)
- Main image

- Experimental details
- Immunohistochemical analysis of GLOD5 in human skin using GLOD5 Polyclonal Antibody (Product # PA5-52726) shows no positivity in squamous epithelial cells as expected.
- Submitted by
- Invitrogen Antibodies (provider)
- Main image

- Experimental details
- Immunohistochemical analysis of GLOD5 in human small intestine using GLOD5 Polyclonal Antibody (Product # PA5-52726) shows strong granular cytoplasmic positivity in glandular cells.
- Submitted by
- Invitrogen Antibodies (provider)
- Main image

- Experimental details
- Immunohistochemical analysis of GLOD5 in human kidney using GLOD5 Polyclonal Antibody (Product # PA5-52726) shows strong granular cytoplasmic positivity in cells in tubules.
- Submitted by
- Invitrogen Antibodies (provider)
- Main image

- Experimental details
- Immunohistochemical analysis of GLOD5 in human skin using GLOD5 Polyclonal Antibody (Product # PA5-52726) shows no positivity in squamous epithelial cells as expected.