Antibody data
- Antibody Data
- Antigen structure
- References [0]
- Comments [0]
- Validations
- Immunohistochemistry [4]
Submit
Validation data
Reference
Comment
Report error
- Product number
- PA5-98574 - Provider product page

- Provider
- Invitrogen Antibodies
- Product name
- ARPIN Polyclonal Antibody
- Antibody type
- Polyclonal
- Antigen
- Recombinant full-length protein
- Reactivity
- Human
- Host
- Rabbit
- Isotype
- IgG
- Vial size
- 100 μg
- Concentration
- 0.67 mg/mL
- Storage
- -20°C or -80°C if preferred
No comments: Submit comment
Supportive validation
- Submitted by
- Invitrogen Antibodies (provider)
- Main image

- Experimental details
- Immunohistochemical analysis of ARPIN in paraffin embedded human colon cancer using a ARPIN polyclonal antibody (Product # PA5-98574) at a dilution of 1:100.
- Submitted by
- Invitrogen Antibodies (provider)
- Main image

- Experimental details
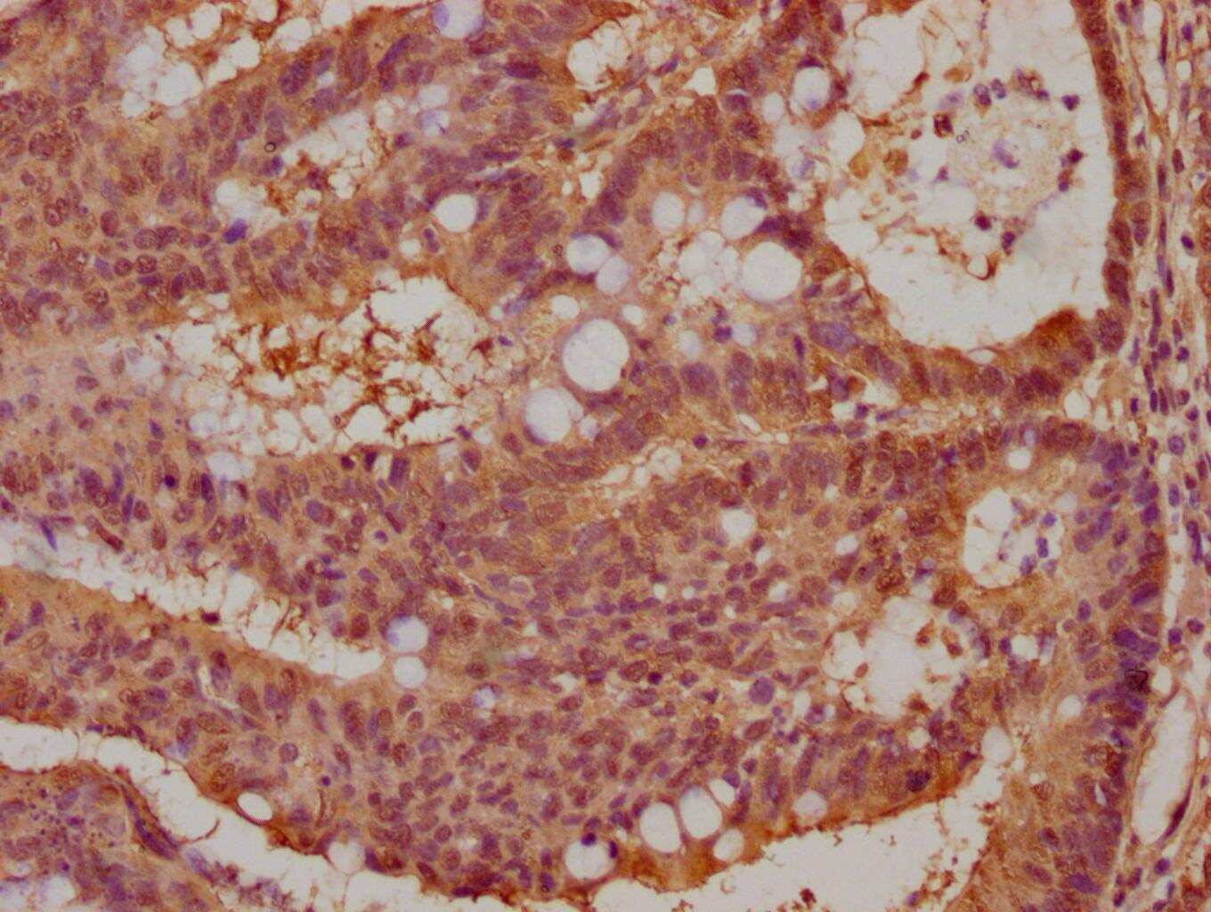
- Immunohistochemical analysis of ARPIN in paraffin embedded human kidney tissue using a ARPIN polyclonal antibody (Product # PA5-98574) at a dilution of 1:100.
- Submitted by
- Invitrogen Antibodies (provider)
- Main image

- Experimental details
- Immunohistochemical analysis of ARPIN in paraffin embedded human colon cancer using a ARPIN polyclonal antibody (Product # PA5-98574) at a dilution of 1:100.
- Submitted by
- Invitrogen Antibodies (provider)
- Main image

- Experimental details
- Immunohistochemical analysis of ARPIN in paraffin embedded human kidney tissue using a ARPIN polyclonal antibody (Product # PA5-98574) at a dilution of 1:100.