Antibody data
- Antibody Data
- Antigen structure
- References [1]
- Comments [0]
- Validations
- Western blot [3]
- Immunohistochemistry [2]
Submit
Validation data
Reference
Comment
Report error
- Product number
- NBP2-15525 - Provider product page

- Provider
- Novus Biologicals
- Product name
- Rabbit Polyclonal ATPG Antibody
- Antibody type
- Polyclonal
- Description
- Immunogen affinity purified.
- Reactivity
- Human, Mouse, Rat
- Host
- Rabbit
- Isotype
- IgG
- Vial size
- 0.1 ml
- Storage
- Aliquot and store at -20C or -80C. Avoid freeze-thaw cycles.
Submitted references Mitochondrial reprogramming via ATP5H loss promotes multimodal cancer therapy resistance.
Song KH, Kim JH, Lee YH, Bae HC, Lee HJ, Woo SR, Oh SJ, Lee KM, Yee C, Kim BW, Cho H, Chung EJ, Chung JY, Hewitt SM, Chung TW, Ha KT, Bae YK, Mao CP, Yang A, Wu TC, Kim TW
The Journal of clinical investigation 2018 Aug 31;128(9):4098-4114
The Journal of clinical investigation 2018 Aug 31;128(9):4098-4114
No comments: Submit comment
Supportive validation
- Submitted by
- Novus Biologicals (provider)
- Main image

- Experimental details
- Western Blot: ATPG Antibody [NBP2-15525] - Sample (50 ug of whole cell lysate) A: Mouse Brain, 12% SDS PAGE gel, diluted at 1:1000.
- Submitted by
- Novus Biologicals (provider)
- Main image

- Experimental details
- Western Blot: ATPG Antibody [NBP2-15525] - A. 50 ug rat kidney lysate/extract 12% SDS-PAGE ATP synthase gamma antibody dilution: 1:5000 The HRP-conjugated anti-rabbit IgG antibody (NBP2-19301) was used to detect the primary antibody.
- Submitted by
- Novus Biologicals (provider)
- Main image

- Experimental details
- Western Blot: ATPG Antibody [NBP2-15525] - A: HeLa 12% SDS PAGE ATP synthase gamma(mitochondrial) antibody diluted at 1:1000 The HRP-conjugated anti-rabbit IgG antibody (NBP2-19301) was used to detect the primary antibody.
Supportive validation
- Submitted by
- Novus Biologicals (provider)
- Main image

- Experimental details
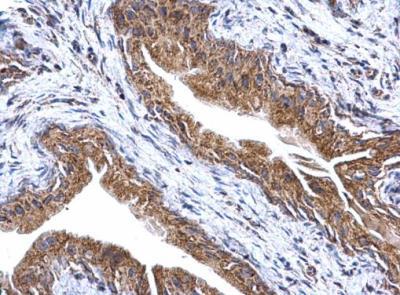
- Immunohistochemistry-Paraffin: ATPG Antibody [NBP2-15525] - Paraffin-embedded mouse cervix. ATP synthase gamma antibody dilution: 1:500.
- Submitted by
- Novus Biologicals (provider)
- Main image

- Experimental details
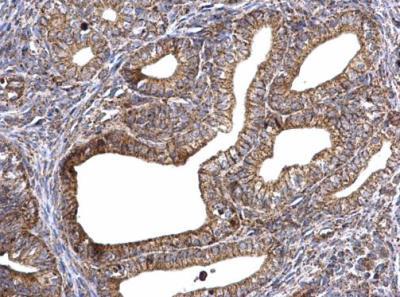
- Immunohistochemistry-Paraffin: ATPG Antibody [NBP2-15525] - Paraffin-embedded mouse urinary bladder. ATP synthase gamma antibody dilution: 1:500.