Antibody data
- Antibody Data
- Antigen structure
- References [1]
- Comments [0]
- Validations
- Western blot [1]
- Immunohistochemistry [1]
Submit
Validation data
Reference
Comment
Report error
- Product number
- GTX108112 - Provider product page

- Provider
- GeneTex
- Proper citation
- GeneTex Cat#GTX108112, RRID:AB_1950088
- Product name
- CysLT1 Receptor antibody [N1], N-term
- Antibody type
- Polyclonal
- Reactivity
- Human
- Host
- Rabbit
Submitted references New maresin conjugates in tissue regeneration pathway counters leukotriene D(4)-stimulated vascular responses.
Chiang N, Riley IR, Dalli J, Rodriguez AR, Spur BW, Serhan CN
FASEB journal : official publication of the Federation of American Societies for Experimental Biology 2018 Jul;32(7):4043-4052
FASEB journal : official publication of the Federation of American Societies for Experimental Biology 2018 Jul;32(7):4043-4052
No comments: Submit comment
Supportive validation
- Submitted by
- GeneTex (provider)
- Main image

- Experimental details
- Sample(30 £gg of whole cell lysate)A:293T10% SDS PAGEGTX108112 diluted at 1:500
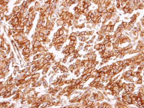
Supportive validation
- Submitted by
- GeneTex (provider)
- Main image

- Experimental details
- Immunohistochemical analysis of paraffin-embedded U373 xenograft, using CysLT 1 receptor(GTX108112) antibody at 1:100 dilution.