Antibody data
- Antibody Data
- Antigen structure
- References [1]
- Comments [0]
- Validations
- Western blot [1]
- Immunocytochemistry [1]
- Immunohistochemistry [1]
Submit
Validation data
Reference
Comment
Report error
- Product number
- PAB6611 - Provider product page

- Provider
- Abnova Corporation
- Proper citation
- Abnova Corporation Cat#PAB6611, RRID:AB_1575609
- Product name
- IFT74 polyclonal antibody
- Antibody type
- Polyclonal
- Description
- Goat polyclonal antibody raised against synthetic peptide of IFT74.
- Antigen sequence
C-KTIVDALHSTSGN- Storage
- Store at -20°C.Aliquot to avoid repeated freezing and thawing.
Submitted references Analysis of IFT74 as a candidate gene for chromosome 9p-linked ALS-FTD.
Momeni P, Schymick J, Jain S, Cookson MR, Cairns NJ, Greggio E, Greenway MJ, Berger S, Pickering-Brown S, Chiò A, Fung HC, Holtzman DM, Huey ED, Wassermann EM, Adamson J, Hutton ML, Rogaeva E, St George-Hyslop P, Rothstein JD, Hardiman O, Grafman J, Singleton A, Hardy J, Traynor BJ
BMC neurology 2006 Dec 13;6:44
BMC neurology 2006 Dec 13;6:44
No comments: Submit comment
Supportive validation
- Submitted by
- Abnova Corporation (provider)
- Main image

- Experimental details
- IFT74 polyclonal antibody (Cat # PAB6611) staining (0.3 ug/mL) of 293 lysate (RIPA buffer, 35 ug total protein per lane). Primary incubated for 1 hour. Detected by western blot using chemiluminescence.
Supportive validation
- Submitted by
- Abnova Corporation (provider)
- Main image

- Experimental details
- A) IFT74 polyclonal antibody (Cat # PAB6611) (2.5 mg/ml) staining of primary rat cortical neurons showed localization of IFT74 to vesicles in the cell body and along the neuronal processes. B) Control. (Data were kindly provided by Dr. Bryan Traynor. See Application Notes!)
- Validation comment
- Immunofluorescence
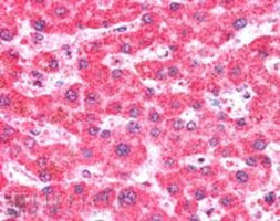
Supportive validation
- Submitted by
- Abnova Corporation (provider)
- Main image

- Experimental details
- IFT74 polyclonal antibody (Cat # PAB6611, 5 ug/mL) staining of paraffin embedded human liver. Steamed antigen retrieval with citrate buffer pH 6, AP-staining. Data were kindly provided by Dr. Bryan Traynor.
- Validation comment
- Immunohistochemistry (Formalin/PFA-fixed paraffin-embedded sections)