Antibody data
- Antibody Data
- Antigen structure
- References [0]
- Comments [0]
- Validations
- Immunocytochemistry [1]
- Immunoprecipitation [1]
- Immunohistochemistry [2]
- Other assay [1]
Submit
Validation data
Reference
Comment
Report error
- Product number
- PA5-117764 - Provider product page

- Provider
- Invitrogen Antibodies
- Product name
- ACOT1 Polyclonal Antibody
- Antibody type
- Polyclonal
- Antigen
- Other
- Reactivity
- Human
- Host
- Rabbit
- Isotype
- IgG
- Vial size
- 100 μL
- Storage
- -20°C, Avoid Freeze/Thaw Cycles
No comments: Submit comment
Supportive validation
- Submitted by
- Invitrogen Antibodies (provider)
- Main image

- Experimental details
- Immunofluorescence staining of ACOT1 in U2OS cells. Cells were fixed with 4% PFA, permeabilzed with 0.3% Triton X-100 in PBS, blocked with 10% serum, and incubated with ACOT1 Polyclonal Antibody (Product # PA5-117764, 1:200) at 4°C overnight. Then cells were stained with the Alexa Fluor®488-conjugated Goat Anti-rabbit IgG secondary antibody (green) and counterstained with DAPI (blue). Positive staining was localized to cytoplasm.
Supportive validation
- Submitted by
- Invitrogen Antibodies (provider)
- Main image

- Experimental details
- ACOT1 Immunoprecipitation using: Lane A: 0.5 mg HepG2 Whole Cell Lysate 4 µL with ACOT1 Polyclonal Antibody (Product # PA5-117764) and 60 μg of Immunomagnetic beads Protein A/G. Primary antibody: ACOT1 Polyclonal Antibody, at 1:100 dilution. Secondary antibody: Clean-Blot IP Detection Reagent (HRP) at 1:1,000dilution. Developed using the ECL technique. Performed under reducing conditions. Predicted band size: 46 kDa. Observed band size: 46 kDa.
Supportive validation
- Submitted by
- Invitrogen Antibodies (provider)
- Main image

- Experimental details
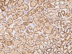
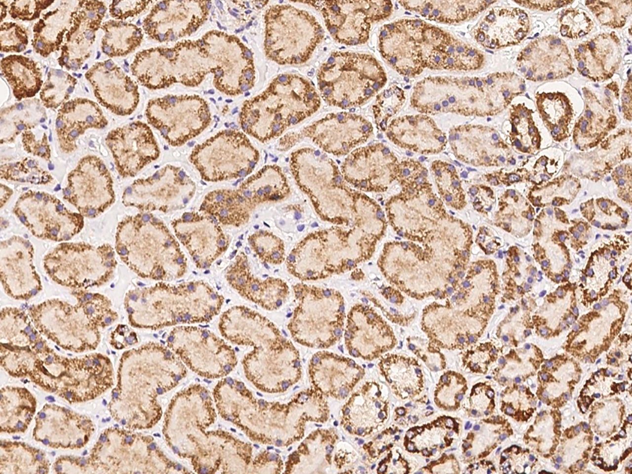
- Immunohistochemical staining of human ACOT1 in human kidney with ACOT1 Polyclonal Antibody (Product # PA5-117764, 1:500 dilution, formalin-fixed paraffin embedded sections).
- Submitted by
- Invitrogen Antibodies (provider)
- Main image

- Experimental details
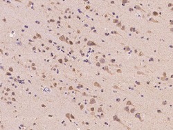
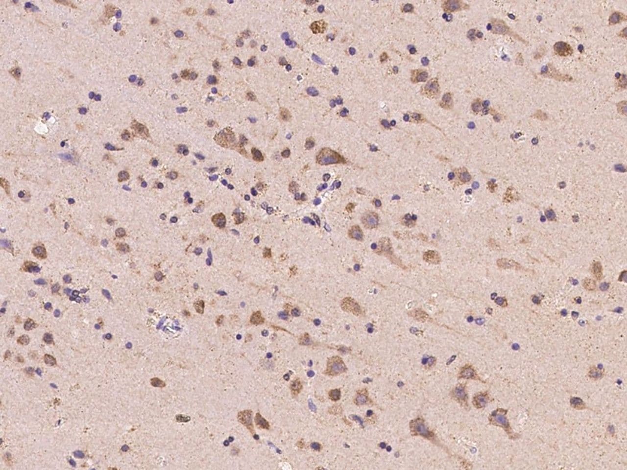
- Immunohistochemical staining of human ACOT1 in human brain with ACOT1 Polyclonal Antibody (Product # PA5-117764, 1:500 dilution, formalin-fixed paraffin embedded sections).
Supportive validation
- Submitted by
- Invitrogen Antibodies (provider)
- Main image

- Experimental details
- ACOT1 Immunoprecipitation using: Lane A: 0.5 mg HepG2 Whole Cell Lysate 4 µL with ACOT1 Polyclonal Antibody (Product # PA5-117764) and 60 μg of Immunomagnetic beads Protein A/G. Primary antibody: ACOT1 Polyclonal Antibody, at 1:100 dilution. Secondary antibody: Clean-Blot IP Detection Reagent (HRP) at 1:1,000dilution. Developed using the ECL technique. Performed under reducing conditions. Predicted band size: 46 kDa. Observed band size: 46 kDa.