Antibody data
- Antibody Data
- Antigen structure
- References [0]
- Comments [0]
- Validations
- Immunocytochemistry [2]
- Immunohistochemistry [4]
Submit
Validation data
Reference
Comment
Report error
- Product number
- PA5-61316 - Provider product page

- Provider
- Invitrogen Antibodies
- Product name
- ST8SIA5 Polyclonal Antibody
- Antibody type
- Polyclonal
- Antigen
- Recombinant protein fragment
- Description
- Immunogen sequence: SGLYITHHYY DNVKPRPGFH AMPSEIFNFL HLHSRGILRV HTGTCS Highest antigen sequence identity to the following orthologs: Mouse - 85%, Rat - 85%.
- Reactivity
- Human
- Host
- Rabbit
- Isotype
- IgG
- Vial size
- 100 μL
- Concentration
- 0.1 mg/mL
- Storage
- Store at 4°C short term. For long term storage, store at -20°C, avoiding freeze/thaw cycles.
No comments: Submit comment
Supportive validation
- Submitted by
- Invitrogen Antibodies (provider)
- Main image

- Experimental details
- Immunofluorescent staining of ST8SIA5 in human cell line RH-30 using a ST8SIA5 Polyclonal Antibody (Product # PA5-61316) shows localization to plasma membrane and midbody.
- Submitted by
- Invitrogen Antibodies (provider)
- Main image

- Experimental details
- Immunofluorescent staining of ST8SIA5 in human cell line RH-30 using a ST8SIA5 Polyclonal Antibody (Product # PA5-61316) shows localization to plasma membrane and midbody.
Supportive validation
- Submitted by
- Invitrogen Antibodies (provider)
- Main image

- Experimental details
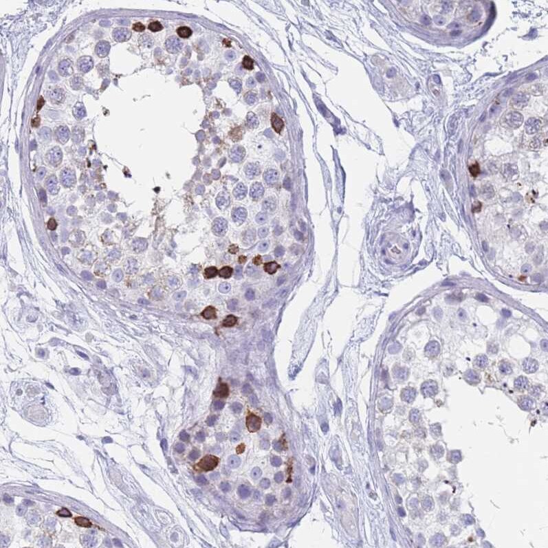
- Immunohistochemical analysis of ST8SIA5 in human testis using ST8SIA5 Polyclonal Antibody (Product # PA5-61316) shows strong cytoplasmic positivity in cells in seminiferous ducts.
- Submitted by
- Invitrogen Antibodies (provider)
- Main image

- Experimental details
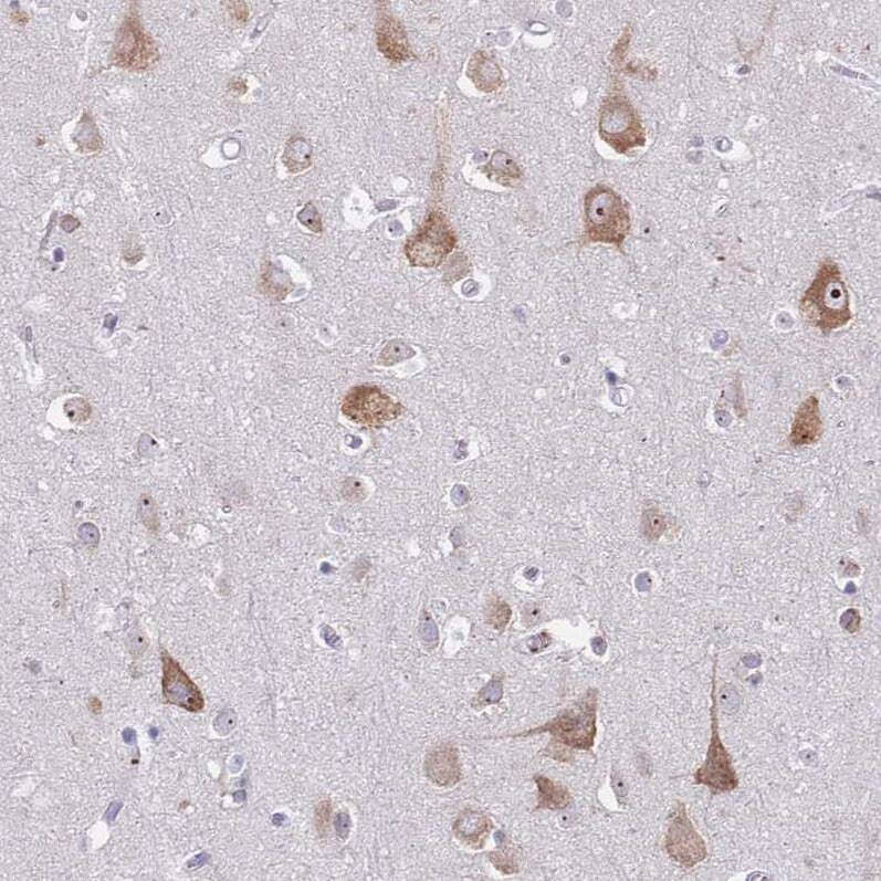
- Immunohistochemical analysis of ST8SIA5 in human cerebral cortex using ST8SIA5 Polyclonal Antibody (Product # PA5-61316) shows moderate cytoplasmic positivity in neurons.
- Submitted by
- Invitrogen Antibodies (provider)
- Main image

- Experimental details
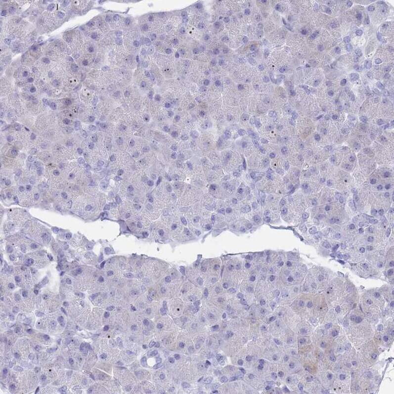
- Immunohistochemical analysis of ST8SIA5 in human pancreas using ST8SIA5 Polyclonal Antibody (Product # PA5-61316) shows no positivity in exocrine glandular cells as expected.
- Submitted by
- Invitrogen Antibodies (provider)
- Main image

- Experimental details
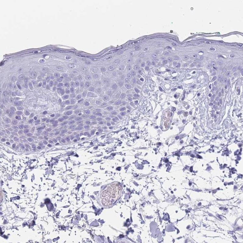
- Immunohistochemical analysis of ST8SIA5 in human skin using ST8SIA5 Polyclonal Antibody (Product # PA5-61316) shows no positivity in squamous epithelial cells as expected.