Antibody data
- Antibody Data
- Antigen structure
- References [0]
- Comments [0]
- Validations
- Western blot [1]
- Immunohistochemistry [1]
Submit
Validation data
Reference
Comment
Report error
- Product number
- AP51111PU-N - Provider product page

- Provider
- OriGene
- Product name
- C20orf173 (Center) rabbit polyclonal antibody, Aff - Purified
- Antibody type
- Polyclonal
- Description
- C20orf173 (Center) rabbit polyclonal antibody, Aff - Purified
- Host
- Rabbit
- Conjugate
- Unconjugated
- Epitope
- C20orf173
- Antibody clone number
- NULL
- Vial size
- 400 µl
- Concentration
- lot specific
No comments: Submit comment
Supportive validation
- Submitted by
- OriGene (provider)
- Main image

- Experimental details
- CT173 Antibody (Center) western blot analysis in MDA-MB435 cell line lysates (35ug/lane).This demonstrates the CT173 antibody detected the CT173 protein (arrow).
- Validation comment
- WB
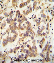
Supportive validation
- Submitted by
- OriGene (provider)
- Main image

- Experimental details
- CT173 antibody (Center) immunohistochemistry analysis in formalin fixed and paraffin embedded human testis carcinoma followed by peroxidase conjugation of the secondary antibody and DAB staining. This data demonstrates the use of the CT173 antibody (Center) for immunohistochemistry. Clinical relevance has not been evaluated.
- Validation comment
- IHC