Antibody data
- Antibody Data
- Antigen structure
- References [0]
- Comments [0]
- Validations
- Immunocytochemistry [3]
- Immunohistochemistry [1]
Submit
Validation data
Reference
Comment
Report error
- Product number
- PA5-59844 - Provider product page

- Provider
- Invitrogen Antibodies
- Product name
- CN079 Polyclonal Antibody
- Antibody type
- Polyclonal
- Antigen
- Recombinant protein fragment
- Description
- Immunogen sequence: GGPWVTGTSA VPPSEPILSY ENILKCAFQE ITVQQAAEDV STIDHFLEIS SEEKPGVERV HKLCNESRKL Highest antigen sequence identity to the following orthologs: Mouse - 60%, Rat - 61%.
- Reactivity
- Human
- Host
- Rabbit
- Isotype
- IgG
- Vial size
- 100 μL
- Concentration
- 0.2 mg/mL
- Storage
- Store at 4°C short term. For long term storage, store at -20°C, avoiding freeze/thaw cycles.
No comments: Submit comment
Supportive validation
- Submitted by
- Invitrogen Antibodies (provider)
- Main image

- Experimental details
- Immunofluorescent staining of CN079 in human cell line A-431 shows positivity in plasma membrane, cytoplasm & nucleus but excluded from the nucleoli. Samples were probed using a CN079 Polyclonal Antibody (Product # PA5-59844).
- Submitted by
- Invitrogen Antibodies (provider)
- Main image

- Experimental details
- Immunofluorescent staining of CN079 in human cell line A-431 using a CN079 Polyclonal Antibody (Product # PA5-59844) shows localization to nucleoplasm, nuclear bodies, plasma membrane and cytosol.
- Submitted by
- Invitrogen Antibodies (provider)
- Main image

- Experimental details
- Immunofluorescent staining of CN079 in human cell line A-431 using a CN079 Polyclonal Antibody (Product # PA5-59844) shows localization to nucleoplasm, nuclear bodies, plasma membrane and cytosol.
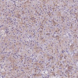
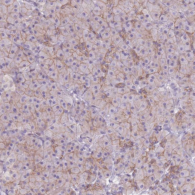
Supportive validation
- Submitted by
- Invitrogen Antibodies (provider)
- Main image

- Experimental details
- Immunohistochemical analysis of CN079 in human pancreas using CN079 Polyclonal Antibody (Product # PA5-59844) shows moderate membranous positivity in exocrine cells.