Antibody data
- Antibody Data
- Antigen structure
- References [0]
- Comments [0]
- Validations
- Western blot [1]
- Immunohistochemistry [3]
Submit
Validation data
Reference
Comment
Report error
- Product number
- NBP2-58005 - Provider product page

- Provider
- Novus Biologicals
- Product name
- Rabbit Polyclonal NUP37 Antibody
- Antibody type
- Polyclonal
- Description
- Affinity purified. Specificity of human NUP37 antibody verified on a Protein Array containing target protein plus 383 other non-specific proteins.
- Reactivity
- Human
- Host
- Rabbit
- Isotype
- IgG
- Vial size
- 100 ul
- Storage
- Store at 4C short term. Aliquot and store at -20C long term. Avoid freeze-thaw cycles.
No comments: Submit comment
Supportive validation
- Submitted by
- Novus Biologicals (provider)
- Main image

- Experimental details
- Western Blot: NUP37 Antibody [NBP2-58005] - Analysis using Anti-NUP37 antibody NBP2-58005 (A) shows similar pattern to independent antibody NBP2-55454 (B).
Supportive validation
- Submitted by
- Novus Biologicals (provider)
- Main image

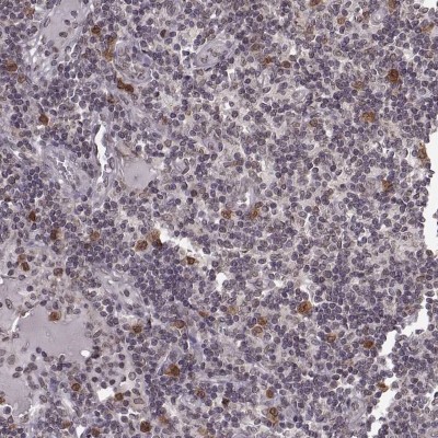
- Experimental details
- Immunohistochemistry-Paraffin: NUP37 Antibody [NBP2-58005] - Staining of human lymph node shows high expression.
- Submitted by
- Novus Biologicals (provider)
- Main image

- Experimental details
- Immunohistochemistry-Paraffin: NUP37 Antibody [NBP2-58005] - Staining of human skeletal muscle shows low expression as expected.
- Submitted by
- Novus Biologicals (provider)
- Main image

- Experimental details
- Immunohistochemistry-Paraffin: NUP37 Antibody [NBP2-58005] - Staining in human lymph node and skeletal muscle tissues using anti-NUP37 antibody. Corresponding NUP37 RNA-seq data are presented for the same tissues.