Antibody data
- Antibody Data
- Antigen structure
- References [0]
- Comments [0]
- Validations
- Immunohistochemistry [4]
Submit
Validation data
Reference
Comment
Report error
- Product number
- PA5-96157 - Provider product page

- Provider
- Invitrogen Antibodies
- Product name
- CD61 Polyclonal Antibody
- Antibody type
- Polyclonal
- Antigen
- Recombinant full-length protein
- Description
- Positive Samples: LO2, HL-60; Cellular Location: Cell junction, Cell membrane, Cell projection, Single-pass type I membrane protein, focal adhesion, lamellipodium membrane Immunogen sequence: IEFPVSEARV LEDRPLSDKG SGDSSQVTQV SPQRIALRLR PDDSKNFSIQ VRQVEDYPVD IYYLMDLSYS MKDDLWSIQN LGTKLATQMR KLTSNLRIGF GAFVDKPVSP YMYISPPEAL ENPCYDMKTT CLPMFGYKHV LTLTDQVTRF NEEVKKQSVS RNRDAPEGGF DAIMQATVCD EKIGWRNDAS HLLVFTTDAK THIALDGRLA GIVQPNDGQC HVGSDNHYSA STTMDYPSLG LMTEKLSQKN INLIFAVTEN VVNLYQNYSE LIPGTTVGVL SMDSSNVLQL IVDAYGKIRS KVELEVRDLP EELSLSFNAT CLNNEVIPGL KSCMGLKIGD TVSFSIEAKV R
- Reactivity
- Human, Mouse, Rat
- Host
- Rabbit
- Isotype
- IgG
- Vial size
- 100 μL
- Concentration
- 1.04 mg/mL
- Storage
- -20°C, Avoid Freeze/Thaw Cycles
No comments: Submit comment
Supportive validation
- Submitted by
- Invitrogen Antibodies (provider)
- Main image

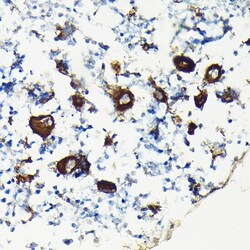
- Experimental details
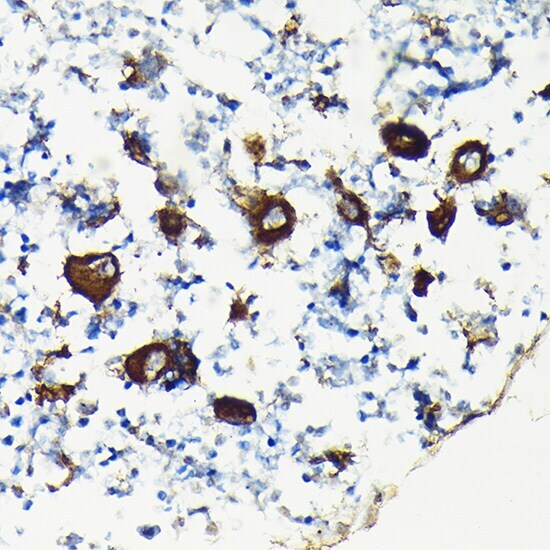
- Immunohistochemistry analysis of CD61 in paraffin-embedded rat bone marrow. Samples were incubated with CD61 Polyclonal antibody (Product # PA5-96157) using a dilution of 1:100 (40x lens). Perform high pressure antigen retrieval with 10 mM citrate buffer pH 6.0 before commencing with IHC staining protocol.
- Submitted by
- Invitrogen Antibodies (provider)
- Main image

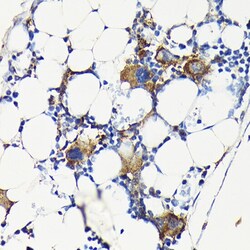
- Experimental details
- Immunohistochemistry analysis of CD61 in paraffin-embedded mouse bone marrow. Samples were incubated with CD61 Polyclonal antibody (Product # PA5-96157) using a dilution of 1:100 (40x lens). Perform high pressure antigen retrieval with 10 mM citrate buffer pH 6.0 before commencing with IHC staining protocol.
- Submitted by
- Invitrogen Antibodies (provider)
- Main image

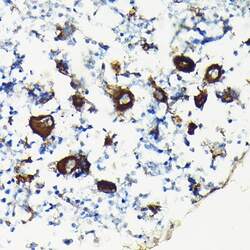
- Experimental details
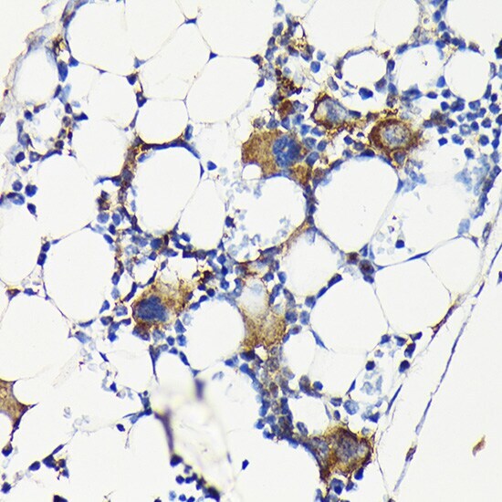
- Immunohistochemistry analysis of CD61 in paraffin-embedded rat bone marrow. Samples were incubated with CD61 Polyclonal antibody (Product # PA5-96157) using a dilution of 1:100 (40x lens). Perform high pressure antigen retrieval with 10 mM citrate buffer pH 6.0 before commencing with IHC staining protocol.
- Submitted by
- Invitrogen Antibodies (provider)
- Main image

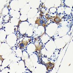
- Experimental details
- Immunohistochemistry analysis of CD61 in paraffin-embedded mouse bone marrow. Samples were incubated with CD61 Polyclonal antibody (Product # PA5-96157) using a dilution of 1:100 (40x lens). Perform high pressure antigen retrieval with 10 mM citrate buffer pH 6.0 before commencing with IHC staining protocol.