Antibody data
- Antibody Data
- Antigen structure
- References [0]
- Comments [0]
- Validations
- Western blot [1]
- Immunohistochemistry [1]
- Flow cytometry [1]
Submit
Validation data
Reference
Comment
Report error
- Product number
- AP50798PU-N - Provider product page

- Provider
- Acris Antibodies GmbH
- Proper citation
- Acris Antibodies GmbH Cat#AP50798PU-N, RRID:AB_11151017
- Product name
- anti CCDC96 (Center)
- Antibody type
- Polyclonal
- Antigen
- KLH conjugated synthetic peptide between 190-219 amino acids from the Central region of human CCDC96
- Reactivity
- Human
- Host
- Rabbit
- Vial size
- 0.1 mg
- Concentration
- 0.25 mg/ml
No comments: Submit comment
Supportive validation
- Submitted by
- Acris Antibodies GmbH (provider)
- Main image

- Experimental details
- CCDC96 Antibody (Center) (Cat. #AP50798PU-N) western blot analysis in MDA-MB435 cell line lysates (35µg/lane).This demonstrates the CCDC96 antibody detected the CCDC96 protein (arrow).
Supportive validation
- Submitted by
- Acris Antibodies GmbH (provider)
- Main image

- Experimental details
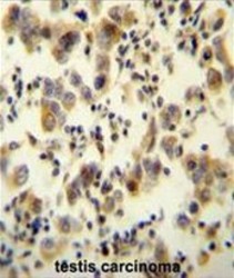
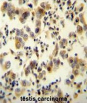
- CCDC96 antibody (Center) (Cat. #AP50798PU-N) immunohistochemistry analysis in formalin fixed and paraffin embedded human testis carcinoma followed by peroxidase conjugation of the secondary antibody and DAB staining. This data demonstrates the use of the CCDC96 antibody (Center) for immunohistochemistry. Clinical relevance has not been evaluated.
Supportive validation
- Submitted by
- Acris Antibodies GmbH (provider)
- Main image

- Experimental details
- CCDC96 Antibody (Center) (Cat. #AP50798PU-N) flow cytometric analysis of MDA-MB435 cells (right histogram) compared to a negative control cell (left histogram).FITC-conjugated goat-anti-rabbit secondary antibodies were used for the analysis.