Antibody data
- Antibody Data
- Antigen structure
- References [0]
- Comments [0]
- Validations
- Immunohistochemistry [7]
Submit
Validation data
Reference
Comment
Report error
- Product number
- NBP2-13378 - Provider product page

- Provider
- Novus Biologicals
- Product name
- Rabbit Polyclonal Sarcalumenin Antibody
- Antibody type
- Polyclonal
- Description
- Immunogen affinity purified. Specificity of human Sarcalumenin antibody verified on a Protein Array containing target protein plus 383 other non-specific proteins.
- Reactivity
- Human
- Host
- Rabbit
- Isotype
- IgG
- Vial size
- 0.1 ml
- Storage
- Store at 4C short term. Aliquot and store at -20C long term. Avoid freeze-thaw cycles.
No comments: Submit comment
Supportive validation
- Submitted by
- Novus Biologicals (provider)
- Main image

- Experimental details
- Immunohistochemistry-Paraffin: Sarcalumenin Antibody [NBP2-13378] - Staining of human skeletal muscle shows strong cytoplasmic positivity in myocytes.
- Submitted by
- Novus Biologicals (provider)
- Main image

- Experimental details
- Immunohistochemistry-Paraffin: Sarcalumenin Antibody [NBP2-13378] - Staining of human heart muscle shows high expression.
- Submitted by
- Novus Biologicals (provider)
- Main image

- Experimental details
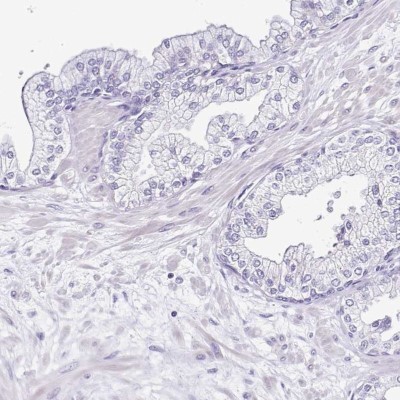
- Immunohistochemistry-Paraffin: Sarcalumenin Antibody [NBP2-13378] - Staining of human prostate shows low expression as expected.
- Submitted by
- Novus Biologicals (provider)
- Main image

- Experimental details
- Immunohistochemistry-Paraffin: Sarcalumenin Antibody [NBP2-13378] - Staining in human heart muscle and prostate tissues using anti-SRL antibody. Corresponding SRL RNA-seq data are presented for the same tissues.
- Submitted by
- Novus Biologicals (provider)
- Main image

- Experimental details
- Immunohistochemistry-Paraffin: Sarcalumenin Antibody [NBP2-13378] - Staining of human colon, heart muscle, prostate and skeletal muscle using Anti-SRL antibody NBP2-13378 (A) shows similar protein distribution across tissues to independent antibody NBP2-13379 (B).
- Submitted by
- Novus Biologicals (provider)
- Main image

- Experimental details
- Immunohistochemistry-Paraffin: Sarcalumenin Antibody [NBP2-13378] - Staining of human colon.
- Submitted by
- Novus Biologicals (provider)
- Main image

- Experimental details
- Immunohistochemistry-Paraffin: Sarcalumenin Antibody [NBP2-13378] - Staining of human skeletal muscle.