Antibody data
- Antibody Data
- Antigen structure
- References [0]
- Comments [0]
- Validations
- Western blot [1]
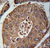
- Immunohistochemistry [1]
Submit
Validation data
Reference
Comment
Report error
- Product number
- LS-C155939 - Provider product page

- Provider
- LSBio
- Product name
- SDHAF3 / ACN9 Antibody (aa13-42) LS-C155939
- Antibody type
- Polyclonal
- Description
- Protein A purified
- Reactivity
- Human, Mouse
- Host
- Rabbit
- Storage
- Maintain refrigerated at 2°C to 8°C for up to 6 months. For long term storage store at -20°C.
No comments: Submit comment
Enhanced validation
- Submitted by
- LSBio (provider)
- Enhanced method
- Genetic validation
- Main image

- Experimental details
- ACN9 Antibody western blot of mouse bladder tissue lysates (35 ug/lane). The ACN9 antibody detected the ACN9 protein (arrow).
Supportive validation
- Submitted by
- LSBio (provider)
- Enhanced method
- Genetic validation
- Main image

- Experimental details
- ACN9 Antibody immunohistochemistry of formalin-fixed and paraffin-embedded human hepatocarcinoma followed by peroxidase-conjugated secondary antibody and DAB staining.