Antibody data
- Antibody Data
- Antigen structure
- References [0]
- Comments [0]
- Validations
- Western blot [1]
- ELISA [1]
- Immunocytochemistry [1]
- Immunohistochemistry [2]
Submit
Validation data
Reference
Comment
Report error
- Product number
- AM50088PU-N - Provider product page

- Provider
- Acris Antibodies GmbH
- Product name
- anti Hyaluronic acid synthase 2 / HAS2
- Antibody type
- Monoclonal
- Antigen
- Purified recombinant fragment of Human HAS2 (aa67-170) expressed in E. coli.
- Reactivity
- Human
- Host
- Mouse
- Isotype
- IgG
- Antibody clone number
- 4E7
- Vial size
- 50 µg
- Concentration
- 1.0 mg/ml
No comments: Submit comment
Supportive validation
- Submitted by
- Acris Antibodies GmbH (provider)
- Main image

- Experimental details
- Western blot of HAS2 mouse mAb against NTERA-2 (1), HEK293 (2) cell lysate.
Supportive validation
- Submitted by
- Acris Antibodies GmbH (provider)
- Main image

- Experimental details
- Red: Control Antigen (100ng); Purple: Antigen (10ng); Green: Antigen (50ng); Blue: Antigen (100ng);
Supportive validation
- Submitted by
- Acris Antibodies GmbH (provider)
- Main image

- Experimental details
- Immunofluorescence of HeLa cells using HAS2 mouse mAb (green). Blue: DRAQ5 fluorescent DNA dye. Red: Actin filaments have been labeled with Alexa Fluor-555 phalloidin.
Supportive validation
- Submitted by
- Acris Antibodies GmbH (provider)
- Main image

- Experimental details
- Formalin-Fixed, Paraffin-Embedded Human Prostate stained with HAS2 Antibody Cat.-No AM50088PU-N
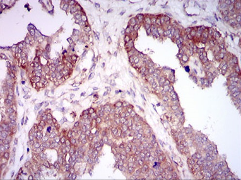
- Submitted by
- Acris Antibodies GmbH (provider)
- Main image

- Experimental details
- Paraffin-Embedded ovarian cancer tissues stained with HAS2 Antibody Cat.-No AM50088PU-N with DAB staining.