Antibody data
- Antibody Data
- Antigen structure
- References [0]
- Comments [0]
- Validations
- Immunocytochemistry [2]
- Immunohistochemistry [5]
Submit
Validation data
Reference
Comment
Report error
- Product number
- PA5-60201 - Provider product page

- Provider
- Invitrogen Antibodies
- Product name
- CASC4 Polyclonal Antibody
- Antibody type
- Polyclonal
- Antigen
- Recombinant protein fragment
- Description
- Immunogen sequence: NTYLVKRLEY ESFQCGQQMK ELRAQHEENI KKLADQFLEE QKQETQKIQS NDGKELDINN QVVPKNIPKV AENVADKNE Highest antigen sequence identity to the following orthologs: Mouse - 82%, Rat - 82%.
- Reactivity
- Human
- Host
- Rabbit
- Isotype
- IgG
- Vial size
- 100 μL
- Concentration
- 0.2 mg/mL
- Storage
- Store at 4°C short term. For long term storage, store at -20°C, avoiding freeze/thaw cycles.
No comments: Submit comment
Supportive validation
- Submitted by
- Invitrogen Antibodies (provider)
- Main image

- Experimental details
- Immunofluorescent staining of CASC4 in human cell line U-2 OS shows positivity in the Golgi apparatus. Samples were probed using a CASC4 Polyclonal Antibody (Product # PA5-60201).
- Submitted by
- Invitrogen Antibodies (provider)
- Main image

- Experimental details
- Immunofluorecent analysis of CASC4 in human cell line U-2 OS using CASC4 Polyclonal Antibody (Product # PA5-60201). Staining shows localization to the Golgi apparatus.
Supportive validation
- Submitted by
- Invitrogen Antibodies (provider)
- Main image

- Experimental details
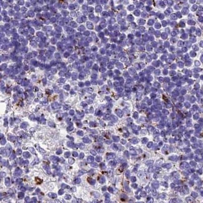
- Immunohistochemical staining of CASC4 in human lymph node using CASC4 Polyclonal Antibody (Product # PA5-60201).
- Submitted by
- Invitrogen Antibodies (provider)
- Main image

- Experimental details
- Immunohistochemical staining of CASC4 in human cerebral cortex, liver, lymph node and pancreas using CASC4 Polyclonal Antibody (Product # PA5-60201) (A) shows similar protein distribution across tissues to an independent CASC4 Polyclonal Antibody (B).
- Submitted by
- Invitrogen Antibodies (provider)
- Main image

- Experimental details
- Immunohistochemical staining of CASC4 in human pancreas using CASC4 Polyclonal Antibody (Product # PA5-60201).
- Submitted by
- Invitrogen Antibodies (provider)
- Main image

- Experimental details
- Immunohistochemical staining of CASC4 in human cerebral cortex using CASC4 Polyclonal Antibody (Product # PA5-60201).
- Submitted by
- Invitrogen Antibodies (provider)
- Main image

- Experimental details
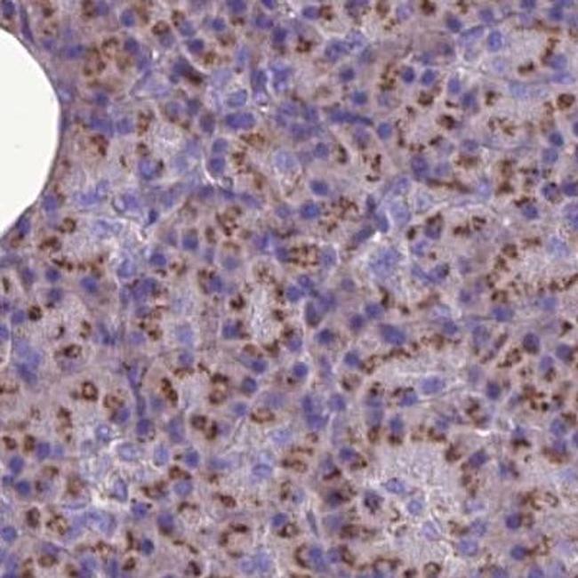
- Immunohistochemical staining of CASC4 in human liver using CASC4 Polyclonal Antibody (Product # PA5-60201).