Antibody data
- Antibody Data
- Antigen structure
- References [0]
- Comments [0]
- Validations
- Immunohistochemistry [1]
Submit
Validation data
Reference
Comment
Report error
- Product number
- PA5-50618 - Provider product page

- Provider
- Invitrogen Antibodies
- Product name
- SERPINA9 Polyclonal Antibody
- Antibody type
- Polyclonal
- Antigen
- Synthetic peptide
- Description
- The antibody detects endogenous levels of total Serpin A9 / Centerin protein.
- Reactivity
- Human
- Host
- Rabbit
- Isotype
- IgG
- Vial size
- 100 μL
- Concentration
- 2.8 mg/mL
- Storage
- -20°C
No comments: Submit comment
Supportive validation
- Submitted by
- Invitrogen Antibodies (provider)
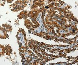
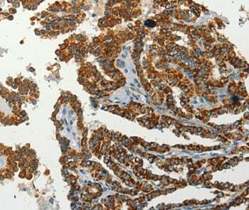
- Main image

- Experimental details
- Immunohistochemical analysis of SERPINA9 in paraffin embedded Human thyroid cancer tissue using SERPINA9 Polyclonal Antibody (Product # PA5-50618) at a 1:60 dilution.