Antibody data
- Antibody Data
- Antigen structure
- References [0]
- Comments [0]
- Validations
- Immunohistochemistry [3]
Submit
Validation data
Reference
Comment
Report error
- Product number
- PA5-63576 - Provider product page

- Provider
- Invitrogen Antibodies
- Product name
- LRRC36 Polyclonal Antibody
- Antibody type
- Polyclonal
- Antigen
- Recombinant protein fragment
- Description
- Immunogen sequence: IVSGQQSHTY DDLLHKNQQL TMQVACLNQE LAQLKKLEKT VAILHESQRS LVVTNEYLLQ QLNKEPKGYS GKALLPPENG HHL Highest antigen sequence identity to the following orthologs: Mouse - 80%, Rat - 29%.
- Reactivity
- Human
- Host
- Rabbit
- Isotype
- IgG
- Vial size
- 100 μL
- Concentration
- 0.1 mg/mL
- Storage
- Store at 4°C short term. For long term storage, store at -20°C, avoiding freeze/thaw cycles.
No comments: Submit comment
Supportive validation
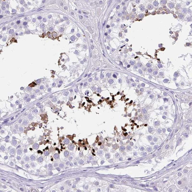
- Submitted by
- Invitrogen Antibodies (provider)
- Main image

- Experimental details
- Immunohistochemical analysis of LRRC36 in human testis using LRRC36 Polyclonal Antibody (Product # PA5-63576) shows high expression.
- Submitted by
- Invitrogen Antibodies (provider)
- Main image

- Experimental details
- Immunohistochemical staining of LRRC36 in human prostate using LRRC36 Polyclonal Antibody (Product # PA5-63576) shows low expression as expected.
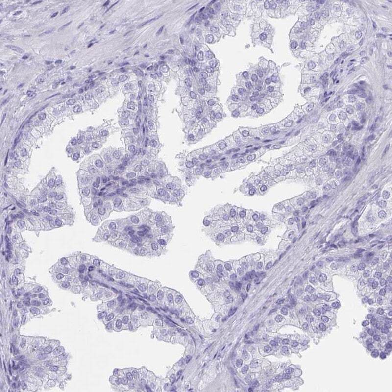
- Submitted by
- Invitrogen Antibodies (provider)
- Main image

- Experimental details
- Immunohistochemical staining of LRRC36 in human testis and prostate tissues using LRRC36 Polyclonal Antibody (Product # PA5-63576). Corresponding LRRC36 RNA-seq data are presented for the same tissues.