Antibody data
- Antibody Data
- Antigen structure
- References [0]
- Comments [0]
- Validations
- Immunocytochemistry [1]
- Immunohistochemistry [3]
Submit
Validation data
Reference
Comment
Report error
- Product number
- PA5-65362 - Provider product page

- Provider
- Invitrogen Antibodies
- Product name
- FAHD1 Polyclonal Antibody
- Antibody type
- Polyclonal
- Antigen
- Recombinant protein fragment
- Description
- Immunogen sequence: DECKKKGLPWT LAKSFTASCP VSAFVPKEKI PDPHKLKLWL KVNGELRQEG ETSSMIFSIP YIISYVSKII TLEEGDIILT GT Highest antigen sequence identity to the following orthologs - mouse 93%, rat 94%.
- Reactivity
- Human
- Host
- Rabbit
- Isotype
- IgG
- Vial size
- 100 μL
- Concentration
- 0.05 mg/mL
- Storage
- Store at 4°C short term. For long term storage, store at -20°C, avoiding freeze/thaw cycles.
No comments: Submit comment
Supportive validation
- Submitted by
- Invitrogen Antibodies (provider)
- Main image

- Experimental details
- Immunofluorescent staining of FAHD1 in human cell line A-431 shows localization to nucleoplasm and mitochondria. Samples were probed using a FAHD1 Polyclonal Antibody (Product # PA5-65362).
Supportive validation
- Submitted by
- Invitrogen Antibodies (provider)
- Main image

- Experimental details
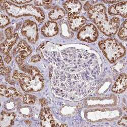
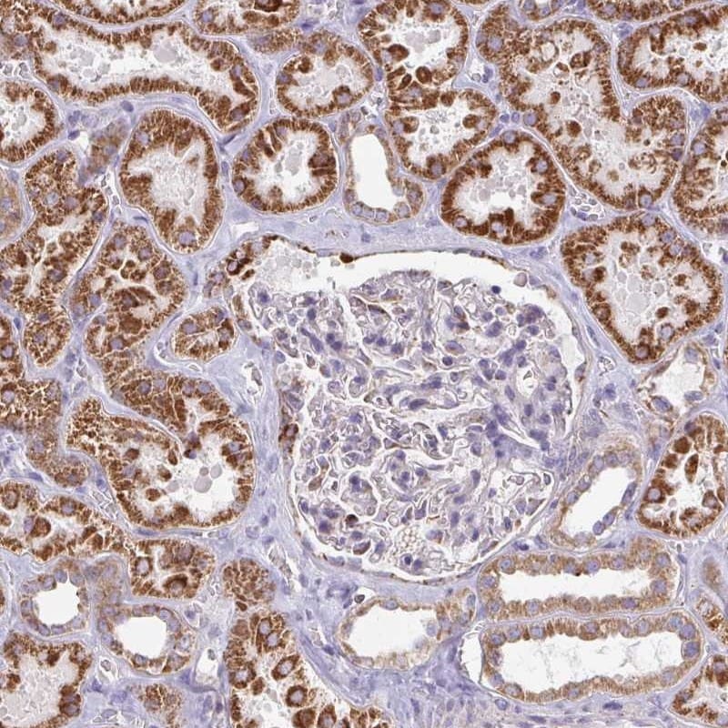
- Immunohistochemical staining of FAHD1 in human kidney shows strong cytoplasmic positivity in cells in tubules. Samples were probed using a FAHD1 Polyclonal Antibody (Product # PA5-65362).
- Submitted by
- Invitrogen Antibodies (provider)
- Main image

- Experimental details
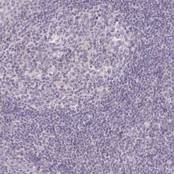
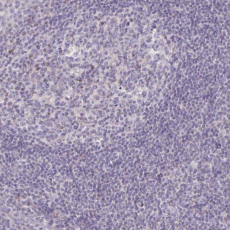
- Immunohistochemical staining of FAHD1 in human tonsil using FAHD1 Polyclonal Antibody (Product # PA5-65362) shows low expression as expected.
- Submitted by
- Invitrogen Antibodies (provider)
- Main image

- Experimental details
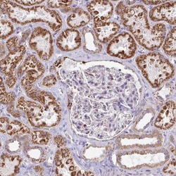
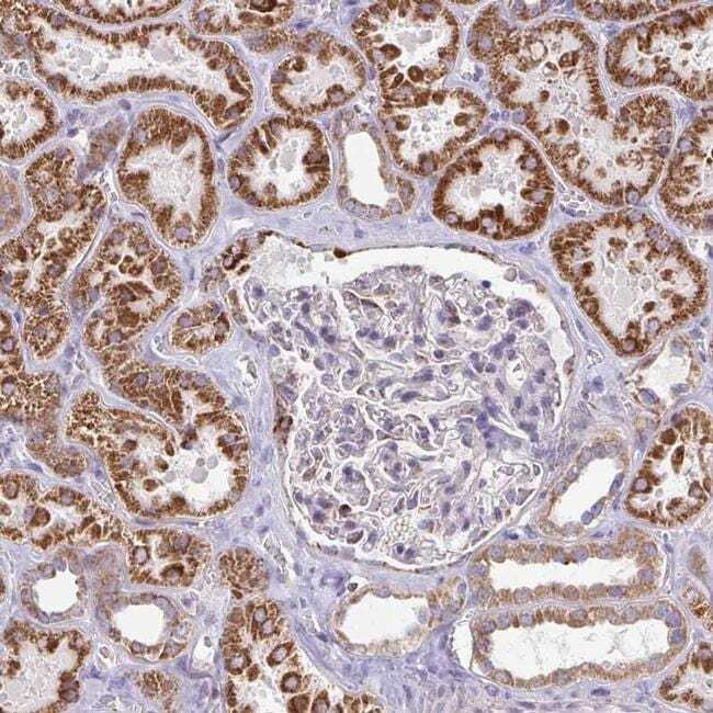
- Immunohistochemical staining of FAHD1 in human kidney using FAHD1 Polyclonal Antibody (Product # PA5-65362) shows high expression.