Antibody data
- Antibody Data
- Antigen structure
- References [0]
- Comments [0]
- Validations
- Immunocytochemistry [2]
- Immunohistochemistry [4]
Submit
Validation data
Reference
Comment
Report error
- Product number
- PA5-62662 - Provider product page

- Provider
- Invitrogen Antibodies
- Product name
- TBC1D2B Polyclonal Antibody
- Antibody type
- Polyclonal
- Antigen
- Recombinant protein fragment
- Description
- Immunogen sequence: VRSSQYDKYF TSSRLCGGVP KDTLELLHQK DDQILGLTSQ LERFSLEKES LQQEVRTLKS KVGELNEQLG MLMETIQAKD E Highest antigen sequence identity to the following orthologs: Mouse - 85%, Rat - 85%.
- Reactivity
- Human
- Host
- Rabbit
- Isotype
- IgG
- Vial size
- 100 μL
- Concentration
- 0.8 mg/mL
- Storage
- Store at 4°C short term. For long term storage, store at -20°C, avoiding freeze/thaw cycles.
No comments: Submit comment
Supportive validation
- Submitted by
- Invitrogen Antibodies (provider)
- Main image

- Experimental details
- Immunofluorescent staining of TBC1D2B in human cell line U-2 OS using TBC1D2B Polyclonal Antibody (Product # PA5-62662) shows localization to cytosol.
- Submitted by
- Invitrogen Antibodies (provider)
- Main image

- Experimental details
- Immunofluorescent staining of TBC1D2B in human cell line U-2 OS using TBC1D2B Polyclonal Antibody (Product # PA5-62662) shows localization to cytosol.
Supportive validation
- Submitted by
- Invitrogen Antibodies (provider)
- Main image

- Experimental details
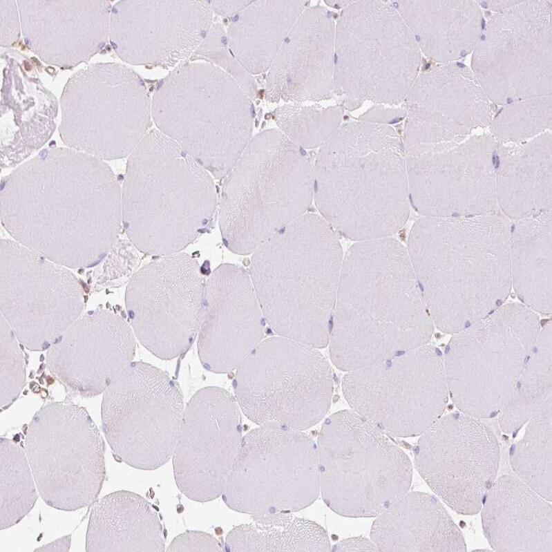
- Immunohistochemical analysis of TBC1D2B in human skeletal muscle using TBC1D2B Polyclonal Antibody (Product # PA5-62662) shows no positivity in myocytes.
- Submitted by
- Invitrogen Antibodies (provider)
- Main image

- Experimental details
- Immunohistochemical analysis of TBC1D2B in human pancreas using TBC1D2B Polyclonal Antibody (Product # PA5-62662) shows strong cytoplasmic positivity in exocrine glandular cells.
- Submitted by
- Invitrogen Antibodies (provider)
- Main image

- Experimental details
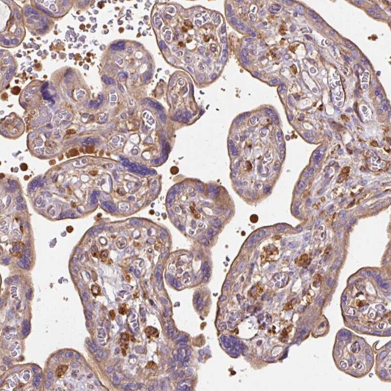
- Immunohistochemical analysis of TBC1D2B in human placenta using TBC1D2B Polyclonal Antibody (Product # PA5-62662) shows moderate cytoplasmic and membranous positivity in trophoblastic cells.
- Submitted by
- Invitrogen Antibodies (provider)
- Main image

- Experimental details
- Immunohistochemical analysis of TBC1D2B in human prostate using TBC1D2B Polyclonal Antibody (Product # PA5-62662) shows strong cytoplasmic positivity in smooth muscle cells.