Antibody data
- Antibody Data
- Antigen structure
- References [1]
- Comments [0]
- Validations
- Immunocytochemistry [2]
- Immunohistochemistry [1]
- Other assay [1]
Submit
Validation data
Reference
Comment
Report error
- Product number
- PA5-61543 - Provider product page

- Provider
- Invitrogen Antibodies
- Product name
- CCDC71 Polyclonal Antibody
- Antibody type
- Polyclonal
- Antigen
- Recombinant protein fragment
- Description
- Immunogen sequence: MSVVVQHVEE KAVHSWSRIS TAGKKALEEA LLVFNPMSQD LSATEAQLVA FLQGLRDDGF QPTILRSGDV YGYSSCTANP PSQTKLQARA PNPTAT Highest antigen sequence identity to the following orthologs: Mouse - 94%, Rat - 95%.
- Reactivity
- Human
- Host
- Rabbit
- Isotype
- IgG
- Vial size
- 100 μL
- Concentration
- 0.2 mg/mL
- Storage
- Store at 4°C short term. For long term storage, store at -20°C, avoiding freeze/thaw cycles.
Submitted references ATRX proximal protein associations boast roles beyond histone deposition.
Scott WA, Dhanji EZ, Dyakov BJA, Dreseris ES, Asa JS, Grange LJ, Mirceta M, Pearson CE, Stewart GS, Gingras AC, Campos EI
PLoS genetics 2021 Nov;17(11):e1009909
PLoS genetics 2021 Nov;17(11):e1009909
No comments: Submit comment
Supportive validation
- Submitted by
- Invitrogen Antibodies (provider)
- Main image

- Experimental details
- Immunofluorescent staining of CCDC71 in human cell line HeLa shows positivity in nuclear membrane. Samples were probed using a CCDC71 Polyclonal Antibody (Product # PA5-61543).
- Submitted by
- Invitrogen Antibodies (provider)
- Main image

- Experimental details
- Immunofluorecent analysis of CCDC71 in human cell line HeLa using CCDC71 Polyclonal Antibody (Product # PA5-61543). Staining shows localization to nuclear membrane.
Supportive validation
- Submitted by
- Invitrogen Antibodies (provider)
- Main image

- Experimental details
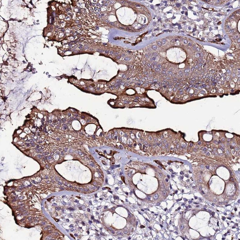
- Immunohistochemical analysis of CCDC71 in human rectum using CCDC71 Polyclonal Antibody (Product # PA5-61543) shows distinct membranous and cytoplasmic positivity in glandular cells.
Supportive validation
- Submitted by
- Invitrogen Antibodies (provider)
- Main image

- Experimental details
- 10.1371/journal.pgen.1009909.g003 Fig 3 CCDC71 is a chromatin-bound protein that associates with HP1. A: Hierarchical catalogue of orthologs (OrthoDB v10.1) [] diagram showing 262 putative genes within the CCDC71/71L family. B: Graphical depiction of the CCDC71 primary structure and features identified using Pfam [] and Prosite []. Putative PxVxL-like motifs are also shown. The CCDC71/71L domain is shown in light grey and putative disordered regions in dark red. C: Sequence analysis of 254 CCDC71 orthologs aligned around the two PxVxL-like motifs. The sequence alignment was generated using COBALT [] and visualized using WebLogo []. D: Subcellular fractionation of MO3.13 cells expressing FLAG-CCDC71. E: Immunolabeling of exogenous CCDC71 in HEK293 Flp-In and MO3.13 cells. F: Fold enrichment of CCDC71 BioID prey (BFDR