Antibody data
- Antibody Data
- Antigen structure
- References [0]
- Comments [0]
- Validations
- Western blot [2]
Submit
Validation data
Reference
Comment
Report error
- Product number
- R32805 - Provider product page

- Provider
- NSJ Bioreagents
- Product name
- AKAP2 Antibody / A-kinase anchor protein 2
- Antibody type
- Polyclonal
- Description
- This highly specific AKAP2 antibody is suitable for use in Western blot applications with human and mouse samples.
- Reactivity
- Human, Mouse
- Host
- Rabbit
- Conjugate
- Unconjugated
- Vial size
- 100 ug
- Concentration
- 0.5mg/ml if reconstituted with 0.2ml sterile DI water
- Storage
- After reconstitution, the AKAP2 antibody can be stored for up to one month at 4oC. For long-term, aliquot and store at -20oC. Avoid repeated freezing and thawing.
No comments: Submit comment
Supportive validation
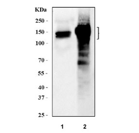
- Submitted by
- NSJ Bioreagents (provider)
- Main image

- Experimental details
- Western blot testing of 1) rat heart and 2) human HepG2 lysate with AKAP2 antibody at 0.5ug/ml. Predicted molecular weight ~95 kDa.
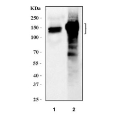
- Submitted by
- NSJ Bioreagents (provider)
- Main image

- Experimental details
- Western blot testing of 1) human PC-3 and 2) mouse lung tissue lysate with AKAP2 antibody at 0.5ug/ml. Predicted molecular weight ~95 kDa (multiple isoforms).