Antibody data
- Antibody Data
- Antigen structure
- References [0]
- Comments [0]
- Validations
- Western blot [1]
- Immunohistochemistry [2]
Submit
Validation data
Reference
Comment
Report error
- Product number
- LS-C403523 - Provider product page

- Provider
- LSBio
- Product name
- SELN / SEPN1 Antibody LS-C403523
- Antibody type
- Polyclonal
- Description
- Affinity purification
- Reactivity
- Human
- Host
- Rabbit
- Isotype
- IgG
- Storage
- Store at -20°C. Avoid freeze-thaw cycles.
No comments: Submit comment
Supportive validation
- Submitted by
- LSBio (provider)
- Main image

- Experimental details
- Western blot analysis of Human placenta tissue, using SEPN1 Polyclonal Antibody at dilution of 1:200.
Supportive validation
- Submitted by
- LSBio (provider)
- Main image

- Experimental details
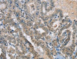
- Immunohistochemistry of paraffin-embedded Human thyroid cancer using SEPN1 Polyclonal Antibody at dilution of 1:20.
- Submitted by
- LSBio (provider)
- Main image

- Experimental details
- Immunohistochemistry of paraffin-embedded Human tonsil using SEPN1 Polyclonal Antibody at dilution of 1:20.