MA5-23818
antibody from Invitrogen Antibodies
Targeting: IL3RA
CD123
Antibody data
- Antibody Data
- Antigen structure
- References [0]
- Comments [0]
- Validations
- Immunocytochemistry [2]
- Immunohistochemistry [1]
- Other assay [2]
Submit
Validation data
Reference
Comment
Report error
- Product number
- MA5-23818 - Provider product page

- Provider
- Invitrogen Antibodies
- Product name
- CD123 Monoclonal Antibody (32703)
- Antibody type
- Monoclonal
- Antigen
- Recombinant full-length protein
- Description
- Reconstitute at 0.5 mg/mL in sterile PBS. Endoxin level is
- Reactivity
- Human
- Host
- Mouse
- Isotype
- IgG
- Antibody clone number
- 32703
- Vial size
- 100 μg
- Concentration
- 0.5 mg/mL
- Storage
- -20°C, Avoid Freeze/Thaw Cycles
No comments: Submit comment
Supportive validation
- Submitted by
- Invitrogen Antibodies (provider)
- Main image

- Experimental details
- Immunocytochemistry analysis of CD123 in immersion fixed human peripheral blood lymphocytes. Samples were incubated in CD123 monoclonal antibody (Product # MA5-23818) using a dilution of 2 µg/mL for 3 hours at room temperature. Cells were stained (red) and counterstained (green).
- Submitted by
- Invitrogen Antibodies (provider)
- Main image

- Experimental details
- Immunocytochemistry analysis of CD123 in immersion fixed human peripheral blood lymphocytes. Samples were incubated in CD123 monoclonal antibody (Product # MA5-23818) using a dilution of 2 µg/mL for 3 hours at room temperature. Cells were stained (red) and counterstained (green).
Supportive validation
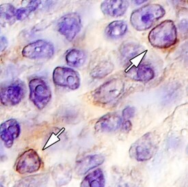
- Submitted by
- Invitrogen Antibodies (provider)
- Main image

- Experimental details
- Immunohistochemical analysis of CD123 in immersion fixed paraffin-embedded sections of human tonsil. Samples were incubated in CD123 monoclonal antibody (Product # MA5-23818) using a dilution of 15 µg/mL overnight at 4 °C. Tissue was stained with the Anti-Mouse HRP-DAB Cell & Tissue Staining Kit (brown) and counterstained with hematoxylin (blue).
Supportive validation
- Submitted by
- Invitrogen Antibodies (provider)
- Main image

- Experimental details
- Neutralization of CD123 in TF‚1 human erythroleukemic cell line. Samples were incubated in CD123 monoclonal antibody (Product # MA5-23818). Recombinant Human IL‚3 stimulates proliferation in the TF‚1 human erythroleukemic cell line in a dose-dependent manner (orange line). Proliferation elicited by Recombinant Human IL‚3 (0.5 ng/mL) is neutralized (green line) by increasing concentrations of Mouse Anti-Human IL‚3 Rα/CD123 Monoclonal Antibody. The ND50 is typically 0.6‚1.2 µg/mL.
- Submitted by
- Invitrogen Antibodies (provider)
- Main image

- Experimental details
- Neutralization of CD123 in TF‚1 human erythroleukemic cell line. Samples were incubated in CD123 monoclonal antibody (Product # MA5-23818). Recombinant Human IL‚3 stimulates proliferation in the TF‚1 human erythroleukemic cell line in a dose-dependent manner (orange line). Proliferation elicited by Recombinant Human IL‚3 (0.5 ng/mL) is neutralized (green line) by increasing concentrations of Mouse Anti-Human IL‚3 Rα/CD123 Monoclonal Antibody. The ND50 is typically 0.6‚1.2 µg/mL.