Antibody data
- Antibody Data
- Antigen structure
- References [0]
- Comments [0]
- Validations
- Immunocytochemistry [1]
- Immunohistochemistry [1]
- Flow cytometry [1]
Submit
Validation data
Reference
Comment
Report error
- Product number
- PA5-48293 - Provider product page

- Provider
- Invitrogen Antibodies
- Product name
- Anti-ANKRD58 Polyclonal Antibody
- Antibody type
- Polyclonal
- Antigen
- Synthetic peptide
- Description
- Predicted to react with bovine and monkey based on sequence homology.
- Reactivity
- Human
- Host
- Rabbit
- Isotype
- IgG
- Vial size
- 400 µl
- Concentration
- Lot Dependent
- Storage
- -20° C, Avoid Freeze/Thaw Cycles
No comments: Submit comment
Supportive validation
- Submitted by
- Invitrogen Antibodies (provider)
- Main image

- Experimental details
- Confocal immunofluorescent analysis of ANKRD58 in A549 cells. Cells were stained with a ANKRD58 Antibody (C-term) (Product # PA5-48293) followed by Alexa Fluor 488-conjugated goat anti-rabbit lgG (green). DAPI was used to stain the cell nuclear (blue).
Supportive validation
- Submitted by
- Invitrogen Antibodies (provider)
- Main image

- Experimental details
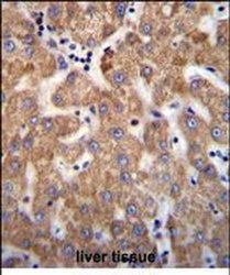
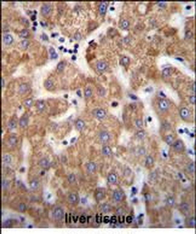
- Immunohistochemical analysis of ANKRD58 in formalin fixed and paraffin embedded human liver tissue. Samples were probed with a ANKRD58 Antibody (C-term) (Product # PA5-48293) followed by peroxidase conjugation of the secondary antibody and DAB staining.
Supportive validation
- Submitted by
- Invitrogen Antibodies (provider)
- Main image

- Experimental details
- Flow cytometric analysis of ANKRD58 in A549 cells (right histogram) compared to a negative control cell (left histogram). Samples were probed with a ANKRD58 Antibody (C-term) (Product # PA5-48293). FITC-conjugated goat-anti-rabbit secondary antibodies were used for the analysis.