PA5-121965
antibody from Invitrogen Antibodies
Targeting: GKN2
blottin, BRICD1B, GDDR, PRO813, TFIZ1, VLTI465
Antibody data
- Antibody Data
- Antigen structure
- References [0]
- Comments [0]
- Validations
- Immunohistochemistry [2]
Submit
Validation data
Reference
Comment
Report error
- Product number
- PA5-121965 - Provider product page

- Provider
- Invitrogen Antibodies
- Product name
- Gastrokine 2 Polyclonal Antibody
- Antibody type
- Polyclonal
- Antigen
- Recombinant full-length protein
- Reactivity
- Human, Mouse, Rat
- Host
- Rabbit
- Isotype
- IgG
- Vial size
- 20 μL
- Concentration
- 0.5 mg/mL
- Storage
- Store at 4°C short term. For long term storage, store at -20°C, avoiding freeze/thaw cycles.
No comments: Submit comment
Supportive validation
- Submitted by
- Invitrogen Antibodies (provider)
- Main image

- Experimental details
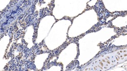
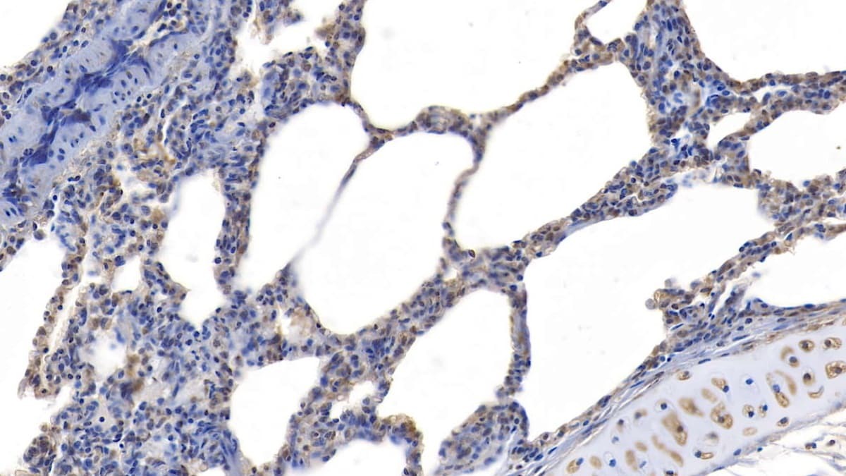
- Immunohistochemistry analysis of GKN2 in paraffin-embedded Human Lung tissue. Samples were incubated with polyclonal antibody (Product # PA5-119134) at a dilution of 20 µg/mL, followed by HRP-Linked Caprine Anti-Rabbit IgG using a dilution of 2 µg/mL.
- Submitted by
- Invitrogen Antibodies (provider)
- Main image

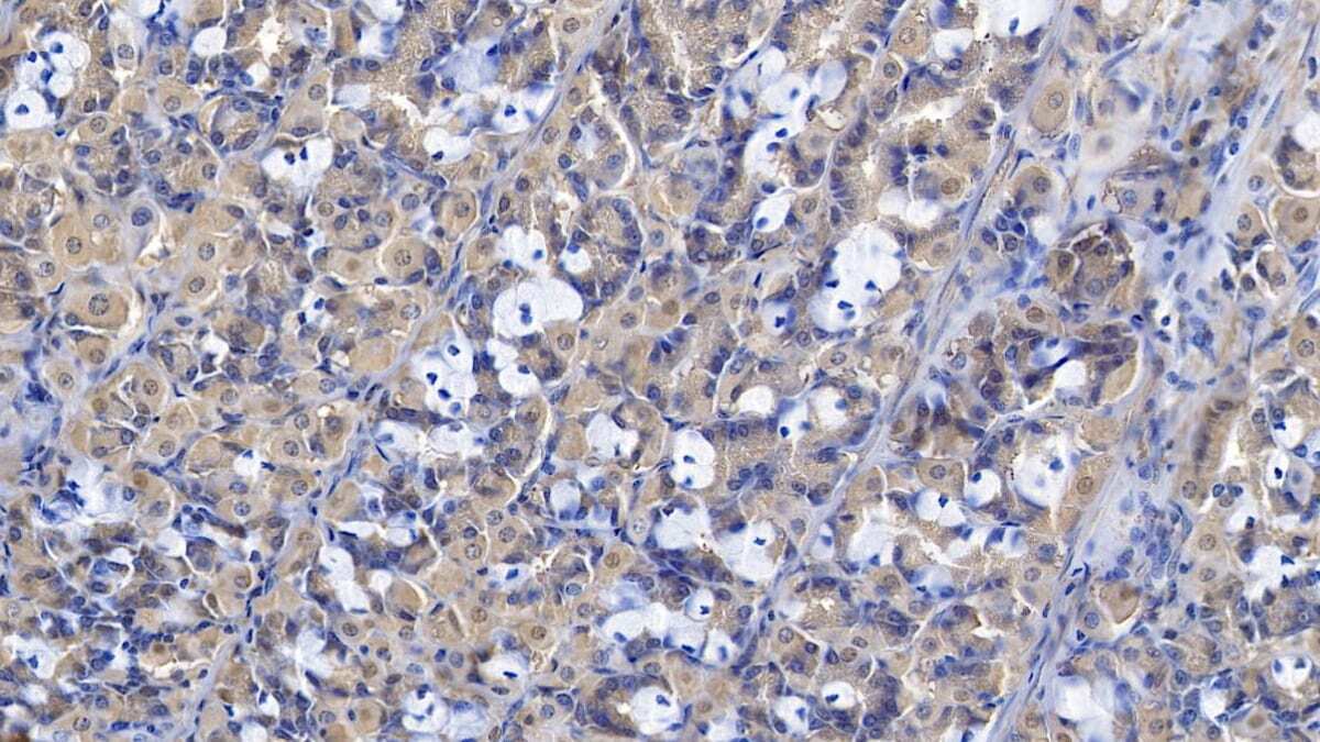
- Experimental details
- Immunohistochemistry analysis of GKN2 in paraffin-embedded Human Stomach tissue. Samples were incubated with polyclonal antibody (Product # PA5-119134) at a dilution of 20 µg/mL, followed by HRP-Linked Caprine Anti-Rabbit IgG using a dilution of 2 µg/mL.