Antibody data
- Antibody Data
- Antigen structure
- References [0]
- Comments [0]
- Validations
- Western blot [1]
- Immunohistochemistry [3]
Submit
Validation data
Reference
Comment
Report error
- Product number
- R31506 - Provider product page

- Provider
- NSJ Bioreagents
- Product name
- CXCR3 Antibody
- Antibody type
- Polyclonal
- Description
- This highly specific CXCR3 antibody is suitable for use in Western blot/Immunohistochemistry applications with human and rat samples.
- Reactivity
- Human, Rat
- Host
- Rabbit
- Conjugate
- Unconjugated
- Vial size
- 100 ug
- Concentration
- 0.5mg/ml if reconstituted with 0.2ml sterile DI water
- Storage
- After reconstitution, the CXCR3 antibody can be stored for up to one month at 4oC. For long-term, aliquot and store at -20oC. Avoid repeated freezing and thawing.
No comments: Submit comment
Supportive validation
- Submitted by
- NSJ Bioreagents (provider)
- Main image

- Experimental details
- Western blot testing of CXCR3 antibody and Lane 1: COLO320; 2: SGC lysate. Predicted molecular weight ~41 kDa.
Supportive validation
- Submitted by
- NSJ Bioreagents (provider)
- Main image

- Experimental details
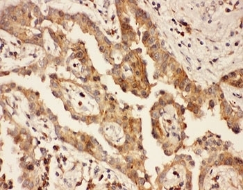
- IHC-P: CXCR3 antibody testing of human lung cancer tissue
- Submitted by
- NSJ Bioreagents (provider)
- Main image

- Experimental details
- IHC-P: CXCR3 antibody testing of human tonsil tissue
- Submitted by
- NSJ Bioreagents (provider)
- Main image

- Experimental details
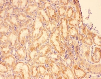
- IHC-P: CXCR3 antibody testing of rat kidney tissue