Antibody data
- Antibody Data
- Antigen structure
- References [0]
- Comments [0]
- Validations
- Immunocytochemistry [3]
- Immunohistochemistry [3]
Submit
Validation data
Reference
Comment
Report error
- Product number
- PA5-62686 - Provider product page

- Provider
- Invitrogen Antibodies
- Product name
- PALM3 Polyclonal Antibody
- Antibody type
- Polyclonal
- Antigen
- Recombinant protein fragment
- Description
- Immunogen sequence: DPTSKDPQSP EGQAQARIRN LEDSLFTLQS QLQLLQSAST GAQHKPSGRP SWRRQGHRPL SQSIV Highest antigen sequence identity to the following orthologs: Mouse - 85%, Rat - 83%.
- Reactivity
- Human
- Host
- Rabbit
- Isotype
- IgG
- Vial size
- 100 μL
- Concentration
- 0.2 mg/mL
- Storage
- Store at 4°C short term. For long term storage, store at -20°C, avoiding freeze/thaw cycles.
No comments: Submit comment
Supportive validation
- Submitted by
- Invitrogen Antibodies (provider)
- Main image

- Experimental details
- Immunofluorescent staining of PALM3 in human cell line A-431 shows positivity in nucleus but excluded from the nucleoli. Samples were probed using a PALM3 Polyclonal Antibody (Product # PA5-62686).
- Submitted by
- Invitrogen Antibodies (provider)
- Main image

- Experimental details
- Immunofluorescent staining of PALM3 in human cell line A-431 using a PALM3 Polyclonal Antibody (Product # PA5-62686) shows localization to nucleoplasm and nuclear bodies.
- Submitted by
- Invitrogen Antibodies (provider)
- Main image

- Experimental details
- Immunofluorescent staining of PALM3 in human cell line A-431 using a PALM3 Polyclonal Antibody (Product # PA5-62686) shows localization to nucleoplasm and nuclear bodies.
Supportive validation
- Submitted by
- Invitrogen Antibodies (provider)
- Main image

- Experimental details
- Immunohistochemical staining of PALM3 in human kidney and skeletal muscle tissues using PALM3 Polyclonal Antibody (Product # PA5-62686). Corresponding PALM3 RNA-seq data are presented for the same tissues.
- Submitted by
- Invitrogen Antibodies (provider)
- Main image

- Experimental details
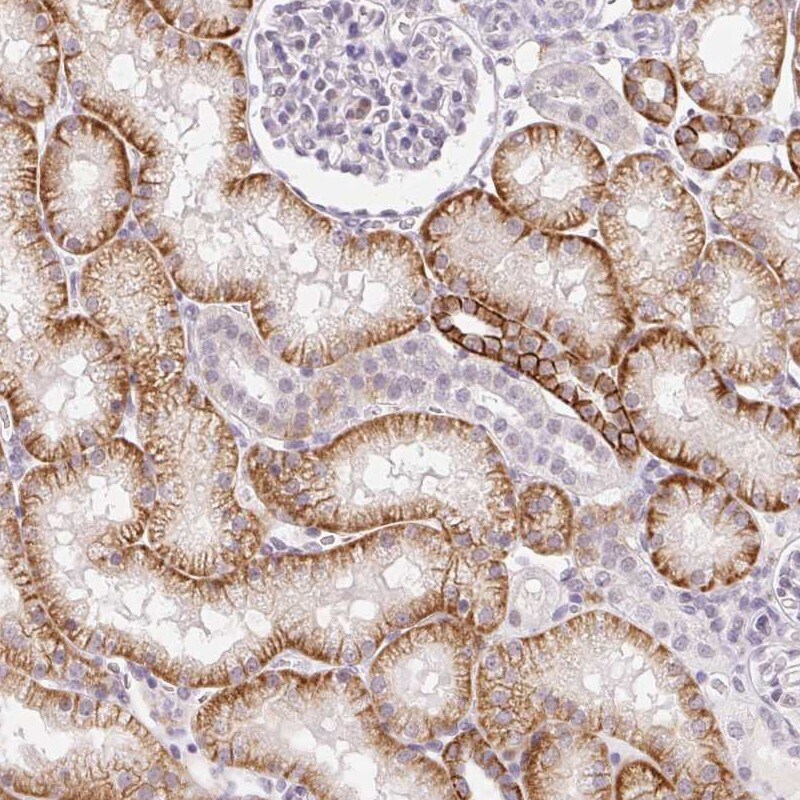
- Immunohistochemical staining of PALM3 in human kidney using PALM3 Polyclonal Antibody (Product # PA5-62686) shows high expression.
- Submitted by
- Invitrogen Antibodies (provider)
- Main image

- Experimental details
- Immunohistochemical staining of PALM3 in human skeletal muscle using PALM3 Polyclonal Antibody (Product # PA5-62686) shows low expression as expected.