Antibody data
- Antibody Data
- Antigen structure
- References [0]
- Comments [0]
- Validations
- Western blot [1]
- Immunohistochemistry [1]
Submit
Validation data
Reference
Comment
Report error
- Product number
- LS-C166337 - Provider product page

- Provider
- LSBio
- Product name
- GAGE12H Antibody (aa21-49) LS-C166337
- Antibody type
- Polyclonal
- Description
- Protein A purified
- Reactivity
- Human
- Host
- Rabbit
- Storage
- Maintain refrigerated at 2°C to 8°C for up to 6 months. For long term storage store at -20°C.
No comments: Submit comment
Enhanced validation
- Submitted by
- LSBio (provider)
- Enhanced method
- Genetic validation
- Main image

- Experimental details
- GAGE12H Antibody western blot of ZR-75-1 cell line lysates (35 ug/lane). The GAGE12H antibody detected the GAGE12H protein (arrow).
Supportive validation
- Submitted by
- LSBio (provider)
- Enhanced method
- Genetic validation
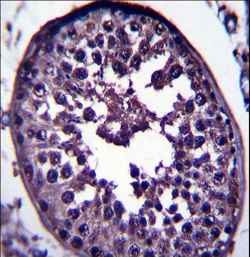
- Main image

- Experimental details
- GAGE12H Antibody immunohistochemistry of formalin-fixed and paraffin-embedded human testis tissue followed by peroxidase-conjugated secondary antibody and DAB staining.