Antibody data
- Antibody Data
- Antigen structure
- References [0]
- Comments [0]
- Validations
- Western blot [1]
- Immunocytochemistry [1]
- Immunohistochemistry [1]
- Flow cytometry [1]
Submit
Validation data
Reference
Comment
Report error
- Product number
- AP52620PU-N - Provider product page

- Provider
- OriGene
- Product name
- MBD3L3 (C-term) rabbit polyclonal antibody, Aff - Purified
- Antibody type
- Polyclonal
- Description
- MBD3L3 (C-term) rabbit polyclonal antibody, Aff - Purified
- Host
- Rabbit
- Conjugate
- Unconjugated
- Epitope
- MBD3L3
- Antibody clone number
- NULL
- Vial size
- 400 µl
- Concentration
- lot specific
No comments: Submit comment
Supportive validation
- Submitted by
- OriGene (provider)
- Main image

- Experimental details
- Western blot analysis of MBD3L3 Antibody (C-term) ?in MCF-7 cell line lysates (35ug/lane). This demonstrates the MBD3L3 antibody detected the MBD3L3 protein (arrow).
- Validation comment
- WB
Supportive validation
- Submitted by
- OriGene (provider)
- Main image

- Experimental details
- Confocal immunofluorescent analysis of MBD3L3 Antibody (C-term) ??with MCF-7 cell followed by Alexa Fluor 488-conjugated goat anti-rabbit lgG (green). DAPI was used to stain the cell nuclear (blue).
- Validation comment
- IF
Supportive validation
- Submitted by
- OriGene (provider)
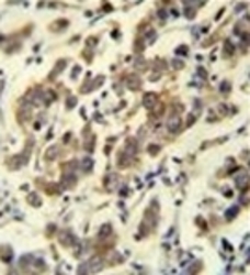
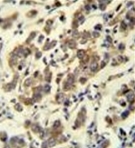
- Main image

- Experimental details
- Immunohistochemistry analysis in formalin fixed and paraffin embedded human testis carcinoma reacted with MBD3L3 Antibody (C-term) ?, which was?peroxidase conjugated to the secondary antibody and?followed by?DAB staining.
- Validation comment
- IHC
Supportive validation
- Submitted by
- OriGene (provider)
- Main image

- Experimental details
- Flow cytometric analysis of MCF-7 cells using MBD3L3 Antibody (C-term) ??(right histogram) compared to a negative control cell (left histogram). FITC-conjugated goat-anti-rabbit secondary antibodies were used for the analysis.
- Validation comment
- FC