Antibody data
- Antibody Data
- Antigen structure
- References [0]
- Comments [0]
- Validations
- Immunocytochemistry [1]
- Immunohistochemistry [1]
- Flow cytometry [1]
Submit
Validation data
Reference
Comment
Report error
- Product number
- PA5-71635 - Provider product page

- Provider
- Invitrogen Antibodies
- Product name
- Anti-MBD3L3 Polyclonal Antibody
- Antibody type
- Polyclonal
- Antigen
- Synthetic peptide
- Reactivity
- Human
- Host
- Rabbit
- Isotype
- IgG
- Vial size
- 400 µl
- Concentration
- 1.09 mg/ml
- Storage
- Store at 4°C short term. For long term storage, store at -20°C, avoiding freeze/thaw cycles.
No comments: Submit comment
Supportive validation
- Submitted by
- Invitrogen Antibodies (provider)
- Main image

- Experimental details
- Immunofluorescent analysis of MBD3L3 in MCF7 cells using confocal microscopy. Samples were incubated with MBD3L3 H1 polyclonal antibody (Product # PA5-71635) followed by Alexa Fluor 488-conjugated goat anti-rabbit lgG (green) as a secondary antibody. Nuclei were counterstained with DAPI (blue).
Supportive validation
- Submitted by
- Invitrogen Antibodies (provider)
- Main image

- Experimental details
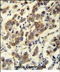
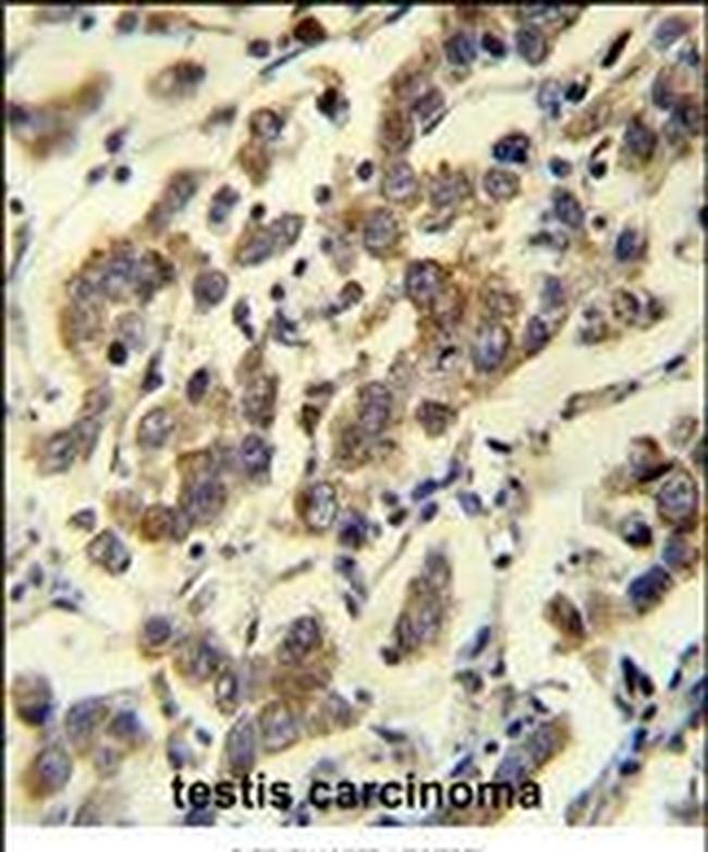
- Immunohistochemical analysis of MBD3L3 in paraffin-embedded human testis carcinoma tissue. Samples were incubated with MBD3L3 polyclonal antibody (Product # PA5-71635) followed by a peroxidase-conjugate secondary antibody and DAB staining.
Supportive validation
- Submitted by
- Invitrogen Antibodies (provider)
- Main image

- Experimental details
- Flow cytometry analysis of MBD3L3 in MCF-7 cells (right histogram) compared to a negative control cell (left histogram). Samples were incubated with MBD3L3 polyclonal antibody (Product # PA5-71635) followed by a FITC conjugated goat anti-rabbit secondary antibody.