Antibody data
- Antibody Data
- Antigen structure
- References [0]
- Comments [0]
- Validations
- Western blot [1]
- Immunocytochemistry [1]
- Immunohistochemistry [1]
- Flow cytometry [1]
Submit
Validation data
Reference
Comment
Report error
- Product number
- F54637 - Provider product page

- Provider
- NSJ Bioreagents
- Product name
- MBD3L3 Antibody
- Antibody type
- Polyclonal
- Description
- This highly specific MBD3L3 antibody is suitable for use in Flow cytometry/Immunofluorescence/Immunohistochemistry/Western blot applications with human samples.
- Reactivity
- Human
- Host
- Rabbit
- Conjugate
- Unconjugated
- Vial size
- 0.08 ml, 0.4 ml
- Concentration
- In 1X PBS, pH 7.4, with 0.09% sodium azide
- Storage
- Aliquot the MBD3L3 antibody and store frozen at -20oC or colder. Avoid repeated freeze-thaw cycles.
No comments: Submit comment
Supportive validation
- Submitted by
- NSJ Bioreagents (provider)
- Main image

- Experimental details
- Western blot testing of human MCF7 cell lysate with MBD3L3 antibody. Predicted molecular weight ~23 kDa.
Supportive validation
- Submitted by
- NSJ Bioreagents (provider)
- Main image

- Experimental details
- Immunofluorescent staining of human MCF7 cells with MBD3L3 antibody (green) and DAPI nuclear stain (blue).
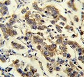
Supportive validation
- Submitted by
- NSJ Bioreagents (provider)
- Main image

- Experimental details
- IHC testing of FFPE human testis carcinoma tissue with MBD3L3 antibody. HIER: steam section in pH6 citrate buffer for 20 min and allow to cool prior to staining.
Supportive validation
- Submitted by
- NSJ Bioreagents (provider)
- Main image

- Experimental details
- Flow cytometry testing of human MCF7 cells with MBD3L3 antibody; Blue=isotype control, Green= MBD3L3 antibody.