Antibody data
- Antibody Data
- Antigen structure
- References [0]
- Comments [0]
- Validations
- Immunocytochemistry [1]
- Immunohistochemistry [1]
Submit
Validation data
Reference
Comment
Report error
- Product number
- PAB27474 - Provider product page

- Provider
- Abnova Corporation
- Product name
- SELM polyclonal antibody
- Antibody type
- Polyclonal
- Description
- Rabbit polyclonal antibody raised against recombinant SELM.
- Antigen sequence
QDIPFYHNLVMKHLPGADPELVLLGRRYEELERIP
LSEMTREEINALVQELGFYRKAAPDAQVPPEYVWA
PAKPPEETSDHA- Isotype
- IgG
- Storage
- Store at 4°C. For long term storage store at -20°C.Aliquot to avoid repeated freezing and thawing.
No comments: Submit comment
Supportive validation
- Submitted by
- Abnova Corporation (provider)
- Main image

- Experimental details
- Immunofluorescent staining of human cell line A-431 with SELM polyclonal antibody(Cat # PAB27474) at 1-4 ug/mL dilutions shows positivity in nucleus but not nucleoli and cytoplasm.
- Validation comment
- Immunofluorescence
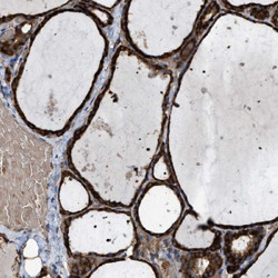
Supportive validation
- Submitted by
- Abnova Corporation (provider)
- Main image

- Experimental details
- Immunohistochemical staining of human thyroid gland with SELM polyclonal antibody(Cat # PAB27474) shows strong cytoplasmic positivity in glandular cellsat 1:500-1:1000 dilution.
- Validation comment
- Immunohistochemistry (Formalin/PFA-fixed paraffin-embedded sections)