Antibody data
- Antibody Data
- Antigen structure
- References [0]
- Comments [0]
- Validations
- Western blot [1]
- Immunocytochemistry [1]
- Immunohistochemistry [1]
Submit
Validation data
Reference
Comment
Report error
- Product number
- OAGA00243 - Provider product page

- Provider
- Aviva Systems Biology
- Product name
- PSMA2 antibody
- Antibody type
- Polyclonal
- Reactivity
- Human
- Host
- Rabbit
- Isotype
- IgG
- Vial size
- 100µl
- Storage
- Keep as concentrated solution. Aliquot and store at -20°C or below. Avoid multiple freeze-thaw cycles.
No comments: Submit comment
Supportive validation
- Submitted by
- Aviva Systems Biology (provider)
- Main image

- Experimental details
- Sample(30?g of whole cell lysate)A: H1299B: HeLa S3 C: Hep G2 D: MOLT4 E: Raji 12% SDS PAGEOAGA00243 diluted at 1:1000
Supportive validation
- Submitted by
- Aviva Systems Biology (provider)
- Main image

- Experimental details
- Immunofluorescence analysis of paraformaldehyde-fixed HeLa, using 20S Proteasome alpha2(OAGA00243) antibody at 1:200 dilution.
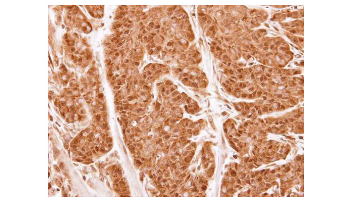
Supportive validation
- Submitted by
- Aviva Systems Biology (provider)
- Main image

- Experimental details
- Immunohistochemical analysis of paraffin-embedded CA922 xenograft, using Proteasome 20S alpha 2(OAGA00243) antibody at 1:500 dilution.