Antibody data
- Antibody Data
- Antigen structure
- References [0]
- Comments [0]
- Validations
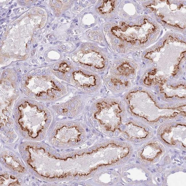
- Immunohistochemistry [3]
Submit
Validation data
Reference
Comment
Report error
- Product number
- PA5-61418 - Provider product page

- Provider
- Invitrogen Antibodies
- Product name
- Anti-RSPH10B Polyclonal Antibody
- Antibody type
- Polyclonal
- Antigen
- Recombinant full-length protein
- Description
- Immunogen sequence: LLLDMYPETV QPEEKKQVEY AVLRNITELR RIYSFYSSLG CGHSLDNTFL MTKLHFWRFL KDCKFHHHKL TLADMDRILS ANNDIPVEEI HSPFTTILLR Highest antigen sequence identity to the following orthologs: Mouse - 85%, Rat - 85%.
- Reactivity
- Human
- Host
- Rabbit
- Isotype
- IgG
- Vial size
- 100 µl
- Concentration
- Lot-Specific
- Storage
- Store at 4°C short term. For long term storage, store at -20°C, avoiding freeze/thaw cycles.
No comments: Submit comment
Supportive validation
- Submitted by
- Invitrogen Antibodies (provider)
- Main image

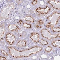
- Experimental details
- Immunohistochemical staining of RSPH10B in human kidney tissue shows strong luminal membranous positivity in renal tubules. Samples were probed using a RSPH10B Polyclonal Antibody (Product # PA5-61418).
- Submitted by
- Invitrogen Antibodies (provider)
- Main image

- Experimental details
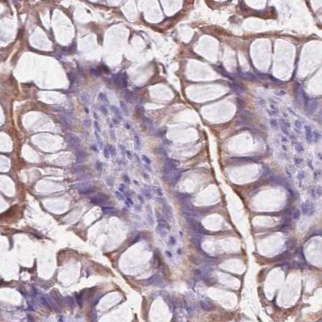
- Immunohistochemical staining of RSPH10B in human small intestine. Samples were probed using a RSPH10B Polyclonal Antibody (Product # PA5-61418).
- Submitted by
- Invitrogen Antibodies (provider)
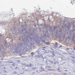
- Main image

- Experimental details
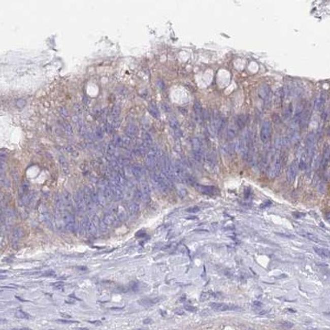
- Immunohistochemical staining of RSPH10B in human ovarian cancer. Samples were probed using a RSPH10B Polyclonal Antibody (Product # PA5-61418).