Antibody data
- Antibody Data
- Antigen structure
- References [0]
- Comments [0]
- Validations
- Western blot [1]
- Immunohistochemistry [1]
- Flow cytometry [1]
Submit
Validation data
Reference
Comment
Report error
- Product number
- AP53323PU-N - Provider product page

- Provider
- OriGene
- Product name
- Rabbit Polyclonal anti-PLA2G2C (C-term) Antibody
- Antibody type
- Polyclonal
- Description
- Rabbit Polyclonal anti-PLA2G2C (C-term) Antibody
- Reactivity
- Human
- Host
- Rabbit
- Conjugate
- Unconjugated
- Epitope
- PA2GC
- Isotype
- IgG
- Vial size
- 0.4ml
- Concentration
- lot specific
No comments: Submit comment
Supportive validation
- Submitted by
- OriGene (provider)
- Main image

- Experimental details
- Western blot analysis of PLA2G2C Antibody (C-term) Cat.-No AP53323PU-Nin HL-60 cell line lysates (35ug/lane). This demonstrates the PLA2G2C antibody detected the PLA2G2C protein (arrow).
- Validation comment
- WB
Supportive validation
- Submitted by
- OriGene (provider)
- Main image

- Experimental details
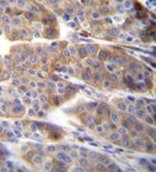
- Immunohistochemistry analysis in formalin fixed and paraffin embedded human melanoma reacted with PLA2G2C Antibody (C-term) Cat.-NoAP53323PU-N, which wasperoxidase conjugated to the secondary antibody and followed byDAB staining. This data demonstrates the
- Validation comment
- IHC
Supportive validation
- Submitted by
- OriGene (provider)
- Main image

- Experimental details
- Flow cytometric analysis of HL-60 cells using PLA2G2C Antibody (C-term) Cat.-No AP53323PU-N(right histogram) compared to a negative control cell (left histogram). FITC-conjugated goat-anti-rabbit secondary antibodies were used for the analysis.
- Validation comment
- FC