Antibody data
- Antibody Data
- Antigen structure
- References [0]
- Comments [0]
- Validations
- Immunohistochemistry [1]
Submit
Validation data
Reference
Comment
Report error
- Product number
- PAB16267 - Provider product page

- Provider
- Abnova Corporation
- Proper citation
- Abnova Corporation Cat#PAB16267, RRID:AB_10676302
- Product name
- BRS3 polyclonal antibody
- Antibody type
- Polyclonal
- Description
- Rabbit polyclonal antibody raised against synthetic peptide of BRS3.
- Storage
- Store at 4°C. For long term storage store at -80°C.Aliquot to avoid repeated freezing and thawing.
No comments: Submit comment
Supportive validation
- Submitted by
- Abnova Corporation (provider)
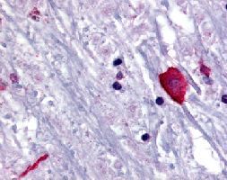
- Main image

- Experimental details
- Immunohistochemical (Formalin/PFA-fixed paraffin-embedded sections) staining in human hypothalamus with BRS3 polyclonal antibody (Cat # PAB16267).
- Validation comment
- Immunohistochemistry (Formalin/PFA-fixed paraffin-embedded sections)