Antibody data
- Antibody Data
- Antigen structure
- References [0]
- Comments [0]
- Validations
- Immunocytochemistry [1]
- Immunohistochemistry [3]
Submit
Validation data
Reference
Comment
Report error
- Product number
- PA5-64240 - Provider product page

- Provider
- Invitrogen Antibodies
- Product name
- ANKRD65 Polyclonal Antibody
- Antibody type
- Polyclonal
- Antigen
- Recombinant protein fragment
- Description
- Immunogen sequence: EEEQELRWME LDSEEALGTR TEGPSVVQGW GHLLQAVWRG PAGLVTQLLR QGH Highest antigen sequence identity to the following orthologs: Mouse - 57%, Rat - 51%.
- Reactivity
- Human
- Host
- Rabbit
- Isotype
- IgG
- Vial size
- 100 μL
- Concentration
- 0.3 mg/mL
- Storage
- Store at 4°C short term. For long term storage, store at -20°C, avoiding freeze/thaw cycles.
No comments: Submit comment
Supportive validation
- Submitted by
- Invitrogen Antibodies (provider)
- Main image

- Experimental details
- Immunofluorescent staining of ANKRD65 in human cell line RT4 using an ANKRD65 Polyclonal Antibody (Product # PA5-64240) shows localization to nucleoplasm.
Supportive validation
- Submitted by
- Invitrogen Antibodies (provider)
- Main image

- Experimental details
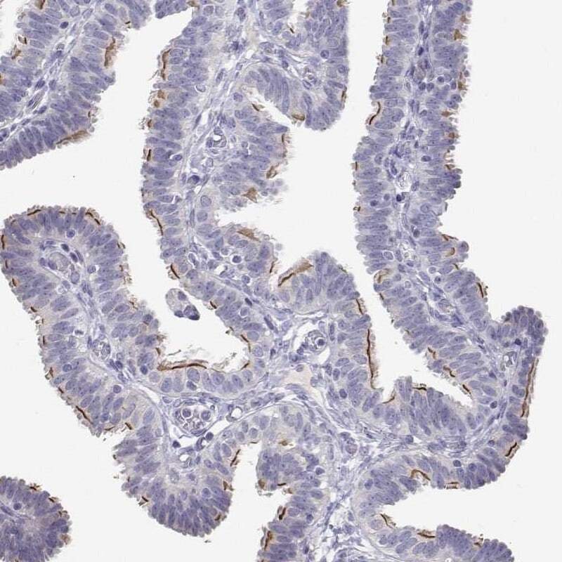
- Immunohistochemical analysis of ANKRD65 in human fallopian tube using ANKRD65 Polyclonal Antibody (Product # PA5-64240) shows high expression.
- Submitted by
- Invitrogen Antibodies (provider)
- Main image

- Experimental details
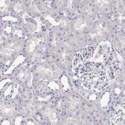
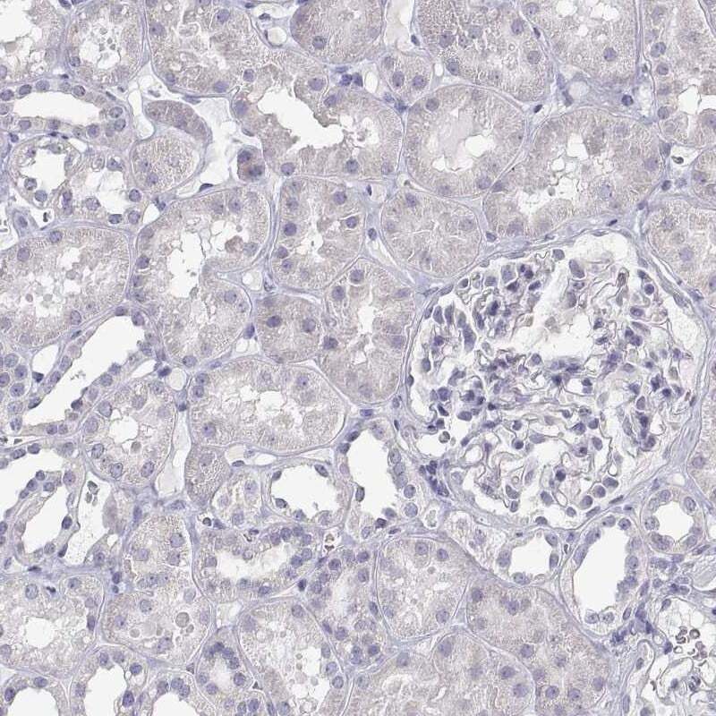
- Immunohistochemical staining of ANKRD65 in human kidney using ANKRD65 Polyclonal Antibody (Product # PA5-64240) shows low expression as expected.
- Submitted by
- Invitrogen Antibodies (provider)
- Main image

- Experimental details
- Immunohistochemical staining of ANKRD65 in human fallopian tube and kidney tissues using ANKRD65 Polyclonal Antibody (Product # PA5-64240). Corresponding ANKRD65 RNA-seq data are presented for the same tissues.